• Tel: 858.663.9055
  • SeparatorEmail: info@nsjbio.com
  • Tel: 858.663.9055
  • Email: info@nsjbio.com
Home >> Antibodies >> Recombinant Granzyme B Antibody

Recombinant Granzyme B Antibody [clone GZMB/4539R] (V9508)

  Catalog No Formulation Size Price (USD)  
Image V9508-100UG 0.2 mg/ml in 1X PBS with 0.1 mg/ml BSA (US sourced), 0.05% sodium azide 100 ug 539
Image
V9508-20UG 0.2 mg/ml in 1X PBS with 0.1 mg/ml BSA (US sourced), 0.05% sodium azide 20 ug 249
Image
V9508SAF-100UG 1 mg/ml in 1X PBS; BSA free, sodium azide free 100 ug 539
Microvalidated Recrabbitmono
Bulk quote request
Western blot testing of human spleen tissue lysate using recombinant Granzyme B antibody (clone GZMB/4539R). Predicted molecular weight: 29-37 kDa.
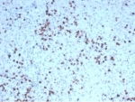
IHC staining of FFPE human spleen tissue with recombinant Granzyme B antibody (clone GZMB/4539R). HIER: boil tissue sections in pH 9 10mM Tris with 1mM EDTA for 20 min and allow to cool before testing.
IHC staining of FFPE human tonsil tissue with recombinant Granzyme B antibody (clone GZMB/4539R). HIER: boil tissue sections in pH 9 10mM Tris with 1mM EDTA for 20 min and allow to cool before testing.
SDS-PAGE analysis of purified, BSA-free recombinant Granzyme B antibody (clone GZMB/4539R) as confirmation of integrity and purity.
Availability 1-3 business days
Species Reactivity Human
Format Purified
Clonality Recombinant Rabbit Monoclonal
Isotype Rabbit IgG
Clone Name GZMB/4539R
Purity Protein A/G affinity
UniProt P10144
Localization Cytoplasm
Applications Western Blot : 2-4ug/ml
Immunohistochemistry (FFPE) : 1-2ug/ml
Limitations This recombinant Granzyme B antibody is available for research use only.
Review this product on BioCompare and get a $20 Amazon gift card

Related Products

Description

Granzyme B is a member of the granule serine protease family stored specifically in NK cells or cytotoxic T cells. Cytolytic T lymphocytes (CTL) and natural killer (NK) cells share the ability to recognize, bind, and lyse specific target cells. They are thought to protect their host by lysing cells bearing on their surface antigens, usually peptides or proteins resulting from infection by intracellular pathogens. Granzyme B is crucial for the rapid induction of target cell apoptosis by CTLs in the cell-mediated immune response. Granzyme B is useful as a marker in the identification of NK/T-cell lymphomas. High percentages of cytotoxic T-cells have been shown to be an unfavorable prognostic indicator in Hodgkin s Disease.

Application Notes

Optimal dilution of the recombinant Granzyme B antibody should be determined by the researcher.

Immunogen

A portion of amino acids 73-187 was used as the immunogen for the recombinant Granzyme B antibody.

Storage

Aliquot the recombinant Granzyme B antibody and store frozen at -20oC or colder. Avoid repeated freeze-thaw cycles.

Cross
Bulk Quote Request Form
Name*:
Organization*:
Email*:
Phone Number*:
Catalog No.*:
Comments and Specifics(amount, formulation, etc.)*:
Validation code: Captchapackage Image


Can't read the image? click here to refresh.
    *required field

Your bulk quote request has been submitted successfully!

Please contact us if you have any questions.