• Tel: 858.663.9055
  • SeparatorEmail: info@nsjbio.com
  • Tel: 858.663.9055
  • Email: info@nsjbio.com
Home >> Antibodies >> Recombinant Glycoprotein 2 Antibody / GP2 / ZAP75

Recombinant Glycoprotein 2 Antibody / GP2 / ZAP75 [clone GP2/2569R] (V7279)

  Catalog No Formulation Size Price (USD)  
Image V7279-100UG 0.2 mg/ml in 1X PBS with 0.1 mg/ml BSA (US sourced) and 0.05% sodium azide 100 ug 539
Image
V7279-20UG 0.2 mg/ml in 1X PBS with 0.1 mg/ml BSA (US sourced) and 0.05% sodium azide 20 ug 249
Image
V7279SAF-100UG 1 mg/ml in 1X PBS; BSA free, sodium azide free 100 ug 539
Image
V7279IHC-7ML Prediluted in 1X PBS with 0.1 mg/ml BSA (US sourced) and 0.05% sodium azide; *For IHC use only* 7 ml 539
Microvalidated Recrabbitmono
Bulk quote request
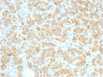
IHC testing of FFPE human pancreas with recombinant Glycoprotein 2 antibody (clone GP2/2569R). HIER: boil tissue sections in pH 9 10mM Tris with 1mM EDTA for 10-20 min and allow to cool before testing.
Western blot testing of human pancreas lysate with recombinant Glycoprotein 2 antibody (clone GP2/2569R).
SDS-PAGE analysis of purified, BSA-free recombinant Glycoprotein 2 antibody (clone GP2/2569R) as confirmation of integrity and purity.
Availability 1-3 business days
Species Reactivity Human
Format Purified
Clonality Recombinant Rabbit Monoclonal
Isotype Rabbit IgG, kappa
Clone Name GP2/2569R
Purity Protein A affinity chromatography
UniProt P55259
Localization Cytoplasmic, membranous, secreted
Applications ELISA : 2-4ug/ml (order BSA/azide-free format)
Western Blot : 1-2ug/ml
Immunohistochemistry (FFPE) : 1-2ug/ml for 30 min at RT (1)
Limitations This recombinant Glycoprotein 2 antibody is available for research use only.
Review this product on BioCompare and get a $20 Amazon gift card

Related Products

Description

GP2 (Glycoprotein 2), also known as ZAP75, is a 537 amino acid secreted protein. It is an integral membrane protein that is secreted from intracellular zymogen granules and associates with the plasma membrane via glycosylphosphatidylinositol (GPI) linkage. GP2 is cleaved and then released into the pancreatic duct along with exocrine secretions. GP2 binds pathogens such as enterobacteria, thereby playing an important role in the innate immune response. The C-terminus of this protein is related to the C-terminus of the protein encoded by the neighboring gene, uromodulin (UMOD). GP2 is also expressed on the apical plasma membrane of specialized microfold (M) cells among enterocytes and serves as a transcytotic receptor for mucosal antigens. M cells are considered a promising target for oral vaccination against various infectious diseases.

Application Notes

Optimal dilution of the recombinant Glycoprotein 2 antibody should be determined by the researcher.

1. The prediluted format is supplied in a dropper bottle and is optimized for use in IHC. After epitope retrieval step (if required), drip mAb solution onto the tissue section and incubate at RT for 30 min.

Immunogen

A partial human recombinant protein corresponding to amino acids 35-179 was used as the immunogen for the recombinant Glycoprotein 2 antibody.

Storage

Store the recombinant Glycoprotein 2 antibody at 2-8oC (with azide) or aliquot and store at -20oC or colder (without azide).

Cross
Bulk Quote Request Form
Name*:
Organization*:
Email*:
Phone Number*:
Catalog No.*:
Comments and Specifics(amount, formulation, etc.)*:
Validation code: Captchapackage Image


Can't read the image? click here to refresh.
    *required field

Your bulk quote request has been submitted successfully!

Please contact us if you have any questions.