• Tel: 858.663.9055
  • SeparatorEmail: info@nsjbio.com
  • Tel: 858.663.9055
  • Email: info@nsjbio.com
Home >> Antibodies >> Recombinant Gastric Mucin Antibody / MUC6 / Rabbit Monoclonal

Recombinant Gastric Mucin Antibody / MUC6 / Rabbit Monoclonal [clone MUC6/1553R] (V3722)

  Catalog No Formulation Size Price (USD)  
Image V3722-100UG 0.2 mg/ml in 1X PBS with 0.1 mg/ml BSA (US sourced) and 0.05% sodium azide 100 ug 539
Image
V3722-20UG 0.2 mg/ml in 1X PBS with 0.1 mg/ml BSA (US sourced) and 0.05% sodium azide 20 ug 249
Image
V3722SAF-100UG 1 mg/ml in 1X PBS; BSA free, sodium azide free 100 ug 539
Image
V3722IHC-7ML Prediluted in 1X PBS with 0.1 mg/ml BSA (US sourced) and 0.05% sodium azide; *For IHC use only* 7 ml 539
Microvalidated Recrabbitmono
Bulk quote request
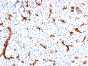
IHC staining of FFPE human gastric carcinoma with recombinant Gastric Mucin antibody (clone MUC6/1553R). Required HIER: boil tissue sections in pH 9 10mM Tris with 1mM EDTA for 10-20 min followed by cooling at RT for 20 min.
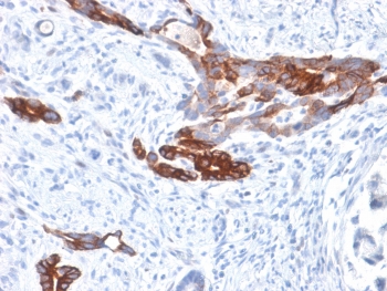
IHC staining of FFPE human pancreas with recombinant Gastric Mucin antibody (clone MUC6/1553R). Required HIER: boil tissue sections in pH 9 10mM Tris with 1mM EDTA for 10-20 min followed by cooling at RT for 20 min.
SDS-PAGE analysis of purified, BSA-free recombinant Gastric Mucin antibody (clone MUC6/1553R) as confirmation of integrity and purity.
Availability 1-3 business days
Species Reactivity Human
Format Purified
Clonality Recombinant Rabbit Monoclonal
Isotype Rabbit IgG, kappa
Clone Name MUC6/1553R
Purity Protein A affinity chromatography
UniProt Q6W4X9
Localization Cytoplasmic & secreted
Applications Immunohistochemistry (FFPE) : 2-4ug/ml for 30 min at RT (1)
Limitations This recombinant Gastric Mucin antibody is available for research use only.
Review this product on BioCompare and get a $20 Amazon gift card

Related Products

Description

MUC6 or gastric mucin is a secreted glycoprotein that plays an essential role in epithelial cyto-protection from acid, proteases, pathogenic microorganisms, and mechanical trauma in the gastrointestinal tract. Mucin 6 expression is highest in the stomach and gall bladder, with lower expression in the terminal ileum and right colon. In gastric cancer, Mucin 6 has an altered expression. In normal stomach, Mucin 6 is associated with Lewis type 2; Mucin 6 is also expressed in gastric metaplasia, duodenum and pancreas. Mucin 6 is a secretory mucin, located in the deeper mucosal folds of human gall bladder, and its expression is altered with increasing degrees of inflammation.

Application Notes

Optimal dilution of the recombinant Gastric Mucin antibody should be determined by the researcher.

1. The prediluted format is supplied in a dropper bottle and is optimized for use in IHC. After epitope retrieval step (if required), drip mAb solution onto the tissue section and incubate at RT for 30 min.

Immunogen

A peptide from the MUC6 tandem repeat sequence was used as the immunogen for the recombinant Gastric Mucin antibody.

Storage

Store the recombinant Gastric Mucin antibody at 2-8oC (with azide) or aliquot and store at -20oC or colder (without azide).

Cross
Bulk Quote Request Form
Name*:
Organization*:
Email*:
Phone Number*:
Catalog No.*:
Comments and Specifics(amount, formulation, etc.)*:
Validation code: Captchapackage Image


Can't read the image? click here to refresh.
    *required field

Your bulk quote request has been submitted successfully!

Please contact us if you have any questions.