• Tel: 858.663.9055
  • SeparatorEmail: info@nsjbio.com
  • Tel: 858.663.9055
  • Email: info@nsjbio.com
Home >> Antibodies >> Recombinant Gastric Mucin Antibody / MUC5AC

Recombinant Gastric Mucin Antibody / MUC5AC [clone MUC5AC/7067R] (V9681)

  Catalog No Formulation Size Price (USD)  
Image V9681-100UG 0.2 mg/ml in 1X PBS with 0.1 mg/ml BSA (US sourced), 0.05% sodium azide 100 ug 539
Image
V9681-20UG 0.2 mg/ml in 1X PBS with 0.1 mg/ml BSA (US sourced), 0.05% sodium azide 20 ug 249
Image
V9681SAF-100UG 1 mg/ml in 1X PBS; BSA free, sodium azide free 100 ug 539
Microvalidated Recrabbitmono
Bulk quote request
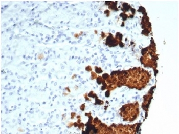
IHC staining of FFPE human stomach tissue with recombinant Gastric Mucin antibody (clone MUC5AC/7067R) at 2ug/ml. HIER: boil tissue sections in pH 9 10mM Tris with 1mM EDTA for 20 min and allow to cool before testing.
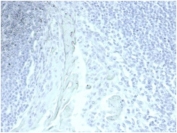
Negative control: IHC staining of FFPE human tonsil tissue with recombinant Gastric Mucin antibody (MUC5AC/7067R) at 2ug/ml in PBS for 30min RT. HIER: boil tissue sections in pH 9 10mM Tris with 1mM EDTA for 20 min and allow to cool before testing.
SDS-PAGE analysis of purified, BSA-free recombinant Gastric Mucin antibody (clone MUC5AC/7067R) as confirmation of integrity and purity.
Availability 1-3 business days
Species Reactivity Human
Format Purified
Clonality Recombinant Rabbit Monoclonal
Isotype Rabbit IgG
Clone Name MUC5AC/7067R
Purity Protein A/G affinity
UniProt P98088
Localization Cytoplasm
Applications Immunohistochemistry (FFPE) : 1-2ug/ml
Limitations This recombinant Gastric Mucin antibody is available for research use only.
Review this product on BioCompare and get a $20 Amazon gift card

Related Products

Description

Mucins are a group of high molecular weight glycoproteins consisting of a mucin core protein and O-linked carbohydrates. Mucin 6 carries GlcNAc. Thyroid hormone binding to thyroid receptors inhibits Mucin 5AC gene expression. Mucin 5AC/Gastric Mucin is also expressed in normal endocervical epithelium, small intestine, gastric cells (Lewis type 1) and gastric metaplasia and it is one of the major mucins in the ethmoid mucosa.

Application Notes

Optimal dilution of the recombinant Gastric Mucin antibody should be determined by the researcher.

Immunogen

Recombinant full-length human protein was used as the immunogen for the recombinant Gastric Mucin antibody.

Storage

Aliquot the recombinant Gastric Mucin antibody and store frozen at -20oC or colder. Avoid repeated freeze-thaw cycles.

Cross
Bulk Quote Request Form
Name*:
Organization*:
Email*:
Phone Number*:
Catalog No.*:
Comments and Specifics(amount, formulation, etc.)*:
Validation code: Captchapackage Image


Can't read the image? click here to refresh.
    *required field

Your bulk quote request has been submitted successfully!

Please contact us if you have any questions.