• Tel: 858.663.9055
  • SeparatorEmail: info@nsjbio.com
  • Tel: 858.663.9055
  • Email: info@nsjbio.com
Home >> Antibodies >> Recombinant FSP1 Antibody / S100A4

Recombinant FSP1 Antibody / S100A4 [clone rS100A4/1481] (V8068)

  Catalog No Formulation Size Price (USD)  
Image V8068-100UG 0.2 mg/ml in 1X PBS with 0.1 mg/ml BSA (US sourced) and 0.05% sodium azide 100 ug 539
Image
V8068-20UG 0.2 mg/ml in 1X PBS with 0.1 mg/ml BSA (US sourced) and 0.05% sodium azide 20 ug 249
Image
V8068SAF-100UG 1 mg/ml in 1X PBS; BSA free, sodium azide free 100 ug 539
Microvalidated Recmousemono
Bulk quote request
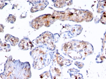
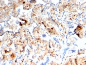
IHC testing of FFPE human placenta with FSP1 antibody (clone rS100A4/1481). Required HIER: steam sections in pH 9 10mM Tris with 1mM EDTA for 10-20 min followed by cooling.
IHC testing of FFPE human placenta with FSP1 antibody (clone rS100A4/1481). Required HIER: steam sections in pH 9 10mM Tris with 1mM EDTA for 10-20 min followed by cooling.
IF/ICC testing of fixed and permeabilized human A549 cells with FSP1 antibody (clone rS100A4/1481, green) and Reddot nuclear stain (red).
Flow cytometry testing of permeabilized human A549 cells with FSP1 antibody (clone rS100A4/1481); Red=isotype control, Blue= FSP1 antibody.
Western blot testing of human PANC-1 cell lysate with FSP1 antibody. Predicted molecular weight ~12 kDa.
SDS-PAGE analysis of purified, BSA-free recombinant FSP1 antibody (clone rS100A4/1481) as confirmation of integrity and purity.
Western blot testing of human HeLa and A549 cell lysate with FSP1 antibody. Predicted molecular weight ~12 kDa.
Availability 1-3 business days
Species Reactivity Human, Mouse
Format Purified
Clonality Recombinant Mouse Monoclonal
Isotype Mouse IgG1, kappa
Clone Name rS100A4/1481
Purity Protein G affinity chromatography
UniProt P26447
Localization Cytoplasmic, nuclear
Applications Flow Cytometry : 1-2ug/10^6 cells in 0.1ml
Western Blot : 1-2ug/ml
Immunofluorescence : 1-2ug/ml
Immunohistochemistry (FFPE) : 1-2ug/ml
Limitations This recombinant FSP1 antibody is available for research use only.
Review this product on BioCompare and get a $20 Amazon gift card

Related Products

Description

Recombinant FSP1 antibody detects fibroblast-specific protein 1, also known as S100A4, a member of the S100 family of calcium-binding proteins. FSP1 is encoded by the S100A4 gene and is associated with regulation of cytoskeletal dynamics, motility, and metastasis. It is expressed in fibroblasts, immune cells, and many tumor types. Because of its roles in fibrosis, cancer progression, and inflammation, Recombinant FSP1 antibody is a widely used reagent in oncology, immunology, and cell biology.

FSP1 is a small dimeric protein that binds calcium ions through EF-hand motifs, altering its conformation to interact with cytoskeletal and signaling partners. These interactions promote actin filament remodeling, cell migration, and matrix invasion. In cancer, FSP1 overexpression is strongly linked to epithelial-mesenchymal transition and metastatic behavior. Beyond cancer, FSP1 participates in inflammatory responses and tissue remodeling, making it relevant to fibrosis and chronic disease.

The Recombinant FSP1 antibody clone rS100A4/1481 provides reproducible and specific detection. Recombinant technology ensures lot-to-lot consistency, essential for comparative studies. Clone rS100A4/1481 has been referenced in peer-reviewed studies investigating tumor metastasis, cardiac fibrosis, and immune regulation. Its versatility supports applications in Western blotting, immunohistochemistry, and flow cytometry.

Research using clone rS100A4/1481 has clarified how FSP1 promotes tumor invasiveness by regulating cell motility and extracellular matrix degradation. In fibrosis models, this antibody has revealed FSP1’s involvement in cardiac and pulmonary fibrotic remodeling, where its expression correlates with disease severity. Its detection in inflammatory cells has provided further insights into how S100A4 influences immune signaling and chronic inflammation.

NSJ Bioreagents supplies this Recombinant FSP1 antibody to support cancer research, fibrosis studies, and immunology. Alternate designations include S100A4 antibody, metastasin antibody, fibroblast-specific protein 1 antibody, Mts1 antibody, calvasculin antibody, and calcium-binding protein A4 antibody.

Application Notes

Optimal dilution of the recombinant FSP1 antibody should be determined by the researcher.

Immunogen

A recombinant human partial protein (amino acids 1-200) was used as the immunogen for the recombinant FSP1 antibody.

Storage

Store the recombinant FSP1 antibody at 2-8oC (with azide) or aliquot and store at -20oC or colder (without azide).

Cross
Bulk Quote Request Form
Name*:
Organization*:
Email*:
Phone Number*:
Catalog No.*:
Comments and Specifics(amount, formulation, etc.)*:
Validation code: Captchapackage Image


Can't read the image? click here to refresh.
    *required field

Your bulk quote request has been submitted successfully!

Please contact us if you have any questions.