• Tel: 858.663.9055
  • SeparatorEmail: info@nsjbio.com
  • Tel: 858.663.9055
  • Email: info@nsjbio.com
Home >> Antibodies >> Recombinant FLG Antibody / Filaggrin

Recombinant FLG Antibody / Filaggrin [clone rFLG/1945] (V9389)

  Catalog No Formulation Size Price (USD)  
Image V9389-100UG 0.2 mg/ml in 1X PBS with 0.1 mg/ml BSA (US sourced), 0.05% sodium azide 100 ug 539
Image
V9389-20UG 0.2 mg/ml in 1X PBS with 0.1 mg/ml BSA (US sourced), 0.05% sodium azide 20 ug 249
Image
V9389SAF-100UG 1 mg/ml in 1X PBS; BSA free, sodium azide free 100 ug 539
Microvalidated Recmousemono
Bulk quote request
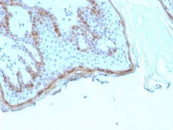
IHC staining of FFPE human skin tissue with recombinant FLG antibody (clone rFLG/1945). HIER: boil tissue sections in pH 9 10mM Tris with 1mM EDTA for 20 min and allow to cool before testing.
Availability 1-3 business days
Species Reactivity Human
Format Purified
Clonality Recombinant Mouse Monoclonal
Isotype Mouse IgG1, kappa
Clone Name rFLG/1945
Purity Protein A/G affinity
UniProt P20930
Localization Cytoplasm
Applications Immunohistochemistry (FFPE) : 1-2ug/ml
Limitations This recombinant FLG antibody is available for research use only.
Review this product on BioCompare and get a $20 Amazon gift card

Related Products

Description

Filaggrin is an intermediate filament-associated protein that aggregates keratin intermediate filaments in mammalian epidermis. It is initially synthesized as a polyprotein precursor, profilaggrin (consisting of multiple filaggrin units of 324 aa each), which is localized in keratohyalin granules, and is subsequently proteolytically processed into individual functional filaggrin molecules.Active filaggrin is present at a level of the epidermis where keratinocytes are in transition between the live nucleated granular layer and the anucleate cornified layer, suggesting that filaggrin aids in the terminal differentiation process by facilitating apoptotic machinery.

Application Notes

Optimal dilution of the recombinant FLG antibody should be determined by the researcher.

Immunogen

A portion of amino acids 198-288 was used as the immunogen for the recombinant FLG antibody.

Storage

Aliquot the recombinant FLG antibody and store frozen at -20oC or colder. Avoid repeated freeze-thaw cycles.

Cross
Bulk Quote Request Form
Name*:
Organization*:
Email*:
Phone Number*:
Catalog No.*:
Comments and Specifics(amount, formulation, etc.)*:
Validation code: Captchapackage Image


Can't read the image? click here to refresh.
    *required field

Your bulk quote request has been submitted successfully!

Please contact us if you have any questions.