• Tel: 858.663.9055
  • SeparatorEmail: info@nsjbio.com
  • Tel: 858.663.9055
  • Email: info@nsjbio.com
Home >> Antibodies >> Recombinant FCER2 Antibody / CD23

Recombinant FCER2 Antibody / CD23 [clone FCER2/6474R] (V5437)

  Catalog No Formulation Size Price (USD)  
Image V5437-100UG 0.2 mg/ml in 1X PBS with 0.1 mg/ml BSA (US sourced), 0.05% sodium azide 100 ug 539
Image
V5437-20UG 0.2 mg/ml in 1X PBS with 0.1 mg/ml BSA (US sourced), 0.05% sodium azide 20 ug 249
Image
V5437SAF-100UG 1 mg/ml in 1X PBS; BSA free, sodium azide free 100 ug 539
Microvalidated Recrabbitmono
Bulk quote request
SDS-PAGE analysis of purified, BSA-free FCER2 antibody (clone FCER2/6474R) as confirmation of integrity and purity.
Availability 1-3 business days
Species Reactivity Human
Format Purified
Clonality Recombinant Rabbit Monoclonal
Isotype Rabbit IgG, kappa
Clone Name FCER2/6474R
Purity Protein A/G affinity
UniProt P06734
Localization Cell Surface
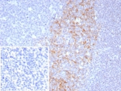
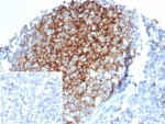
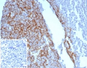
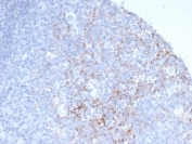
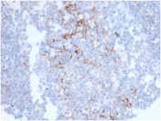
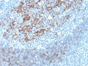
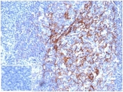
Applications Immunohistochemistry (FFPE) : 1-2ug/ml
Limitations This FCER2 antibody is available for research use only.
Review this product on BioCompare and get a $20 Amazon gift card

Related Products

Description

CD23 (FCER2) is a type II integral membrane glycoprotein that is expressed on mature B cells, monocytes, eosinophils, platelets and dendritic cells. FCER2 is a low affinity IgE receptor that mediates IgE-dependent cytotoxicity and phagocytosis by macrophages and eosinophils. FCER2 associates as an oligomer where cooperative binding of at least two lectin domains is required for high affinity IgE binding to FCER2. It may play a role in antigen presentation by B cells by interacting with CD40. FCER2 has been shown to be associated with the Fyn tyrosine kinase. The truncated molecule can be secreted, then function as a potent mitogenic growth factor. FCER2 is expressed on a subpopulation of peripheral blood cells, B-lymphocytes and on EBV transformed B lymphoblastoid cell lines. FCER2 is also detected in neoplastic cells from cases of B cell chronic lymphocytic leukemia and some cases on centroblastic/centrocytic lymphoma.

Application Notes

Optimal dilution of the FCER2 antibody should be determined by the researcher.

Immunogen

A recombinant fragment (within amino acids 48-321) of human FCER2/CD23 protein was used as the immunogen for the FCER2 antibody.

Storage

Aliquot the FCER2 antibody and store frozen at -20oC or colder. Avoid repeated freeze-thaw cycles.

Cross
Bulk Quote Request Form
Name*:
Organization*:
Email*:
Phone Number*:
Catalog No.*:
Comments and Specifics(amount, formulation, etc.)*:
Validation code: Captchapackage Image


Can't read the image? click here to refresh.
    *required field

Your bulk quote request has been submitted successfully!

Please contact us if you have any questions.