• Tel: 858.663.9055
  • SeparatorEmail: info@nsjbio.com
  • Tel: 858.663.9055
  • Email: info@nsjbio.com
Home >> Antibodies >> Recombinant Fatty Acid Binding Protein 5 Antibody / FABP5

Recombinant Fatty Acid Binding Protein 5 Antibody / FABP5 [clone FABP5/6353R] (V9496)

  Catalog No Formulation Size Price (USD)  
Image V9496-100UG 0.2 mg/ml in 1X PBS with 0.1 mg/ml BSA (US sourced), 0.05% sodium azide 100 ug 539
Image
V9496-20UG 0.2 mg/ml in 1X PBS with 0.1 mg/ml BSA (US sourced), 0.05% sodium azide 20 ug 249
Image
V9496SAF-100UG 1 mg/ml in 1X PBS; BSA free, sodium azide free 100 ug 539
Microvalidated Recrabbitmono
Bulk quote request
Western blot testing of human HeLa cell lysate using recombinant Fatty Acid Binding Protein 5 antibody (clone FABP5/6353R). Predicted molecular weight ~15 kDa.
Western blot testing of human Raji cell lysate using recombinant Fatty Acid Binding Protein 5 antibody (clone FABP5/6353R). Predicted molecular weight ~15 kDa.
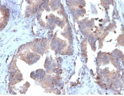
IHC staining of FFPE human liver cancer metastasized to colon tissue with recombinant Fatty Acid Binding Protein 5 antibody (clone FABP5/6353R). HIER: boil tissue sections in pH 9 10mM Tris with 1mM EDTA for 20 min and allow to cool before testing.
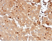
IHC staining of FFPE human prostate carcinoma tissue with recombinant Fatty Acid Binding Protein 5 antibody (clone FABP5/6353R). HIER: boil tissue sections in pH 9 10mM Tris with 1mM EDTA for 20 min and allow to cool before testing.
Availability 1-3 business days
Species Reactivity Human
Format Purified
Clonality Recombinant Rabbit Monoclonal
Isotype Rabbit IgG
Clone Name FABP5/6353R
Purity Protein A/G affinity
UniProt Q01469
Localization Nuclear, Cytoplasmic
Applications Western Blot : 1-2ug/ml
Immunohistochemistry (FFPE) : 1-2ug/ml
Limitations This recombinant Fatty Acid Binding Protein 5 antibody is available for research use only.
Review this product on BioCompare and get a $20 Amazon gift card

Related Products

Description

FABP5 is an intracellular carrier for long-chain fatty acids and related active lipids, such as endocannabinoids, that regulate the metabolism and actions of the ligands they bind. In addition to the cytosolic transport, it selectively delivers specific fatty acids from the cytosol to the nucleus, wherein they activate nuclear receptors. [UniProt]

Application Notes

Optimal dilution of the recombinant Fatty Acid Binding Protein 5 antibody should be determined by the researcher.

Immunogen

Recombinant human full-length protein was used as the immunogen for the recombinant Fatty Acid Binding Protein 5 antibody.

Storage

Aliquot the recombinant Fatty Acid Binding Protein 5 antibody and store frozen at -20oC or colder. Avoid repeated freeze-thaw cycles.

Cross
Bulk Quote Request Form
Name*:
Organization*:
Email*:
Phone Number*:
Catalog No.*:
Comments and Specifics(amount, formulation, etc.)*:
Validation code: Captchapackage Image


Can't read the image? click here to refresh.
    *required field

Your bulk quote request has been submitted successfully!

Please contact us if you have any questions.