• Tel: 858.663.9055
  • SeparatorEmail: info@nsjbio.com
  • Tel: 858.663.9055
  • Email: info@nsjbio.com
Home >> Antibodies >> Recombinant Erythropoietin Antibody / EPO

Recombinant Erythropoietin Antibody / EPO [clone ERTP-1] (V7938)

  Catalog No Formulation Size Price (USD)  
Image V7938-100UG 0.2 mg/ml in 1X PBS with 0.1 mg/ml BSA (US sourced) and 0.05% sodium azide 100 ug 539
Image
V7938-20UG 0.2 mg/ml in 1X PBS with 0.1 mg/ml BSA (US sourced) and 0.05% sodium azide 20 ug 249
Image
V7938SAF-100UG 1 mg/ml in 1X PBS; BSA free, sodium azide free 100 ug 539
Microvalidated Recrabbitmono
Bulk quote request
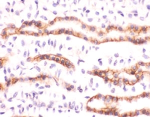
IHC staining of FFPE human kidney with recombinant Erythropoietin antibody (clone ERTP-1). HIER: boil tissue sections in pH 9 10mM Tris with 1mM EDTA for 10-20 min followed by cooling at RT for 20 min.
Availability 1-3 business days
Species Reactivity Human
Format Purified
Clonality Recombinant Rabbit Monoclonal
Isotype Rabbit IgG, kappa
Clone Name ERTP-1
Purity Protein A affinity chromatography
UniProt P01588
Localization Cell surface, cytoplasmic
Applications Immunohistochemistry (FFPE) : 2-4ug/ml
Limitations This recombinant Erythropoietin antibody is available for research use only.
Review this product on BioCompare and get a $20 Amazon gift card

Related Products

Description

Hormone involved in the regulation of erythrocyte proliferation and differentiation and the maintenance of a physiological level of circulating erythrocyte mass. Binds to EPOR leading to EPOR dimerization and JAK2 activation thereby activating specific downstream effectors, including STAT1 and STAT3. [UniProt]

Application Notes

The stated application concentrations are suggested starting points. Titration of the Erythropoietin antibody may be required due to differences in protocols and secondary/substrate sensitivity.

Immunogen

Amino acids 28-162 were used as the immunogen for the recombinant Erythropoietin antibody.

Storage

Store the recombinant Erythropoietin antibody at 2-8oC (with azide) or aliquot and store at -20oC or colder (without azide).

Cross
Bulk Quote Request Form
Name*:
Organization*:
Email*:
Phone Number*:
Catalog No.*:
Comments and Specifics(amount, formulation, etc.)*:
Validation code: Captchapackage Image


Can't read the image? click here to refresh.
    *required field

Your bulk quote request has been submitted successfully!

Please contact us if you have any questions.