• Tel: 858.663.9055
  • SeparatorEmail: info@nsjbio.com
  • Tel: 858.663.9055
  • Email: info@nsjbio.com
Home >> Antibodies >> Recombinant ERa Antibody / Estrogen Receptor alpha

Recombinant ERa Antibody / Estrogen Receptor alpha [clone ESR1/4039R] (V9392)

  Catalog No Formulation Size Price (USD)  
Image V9392-100UG 0.2 mg/ml in 1X PBS with 0.1 mg/ml BSA (US sourced), 0.05% sodium azide 100 ug 539
Image
V9392-20UG 0.2 mg/ml in 1X PBS with 0.1 mg/ml BSA (US sourced), 0.05% sodium azide 20 ug 249
Image
V9392SAF-100UG 1 mg/ml in 1X PBS; BSA free, sodium azide free 100 ug 539
Microvalidated Recrabbitmono
Bulk quote request
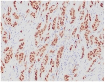
IHC staining of FFPE human breast carcinoma tissue with recombinant ERa antibody (clone ESR1/4039R). HIER: boil tissue sections in pH 9 10mM Tris with 1mM EDTA for 20 min and allow to cool before testing.
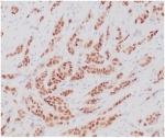
IHC staining of FFPE human breast carcinoma tissue with recombinant ERa antibody (clone ESR1/4039R). HIER: boil tissue sections in pH 9 10mM Tris with 1mM EDTA for 20 min and allow to cool before testing.
SDS-PAGE analysis of purified, BSA-free recombinant ERa antibody (clone ESR1/4039R) as confirmation of integrity and purity.
Availability 1-3 business days
Species Reactivity Human
Format Purified
Clonality Recombinant Rabbit Monoclonal
Isotype Rabbit IgG, kappa
Clone Name ESR1/4039R
Purity Protein A/G affinity
UniProt P03372
Localization Nucleus
Applications Immunohistochemistry (FFPE) : 1-2ug/ml
Limitations This recombinant ERa antibody is available for research use only.
Review this product on BioCompare and get a $20 Amazon gift card

Related Products

Description

The ER gene consists of more than 140kb of genomic DNA divided into 8 exons, being translated into a protein with six functionally discrete domains, labeled A through F. This antibody strongly stains the nucleus of epithelial cells in breast carcinomas. The ER is an important regulator of growth and differentiation in the mammary gland. Presence of ER in breast tumors indicates an increased likelihood of response to antiestrogen (e.g. tamoxifen) therapy.

Application Notes

Optimal dilution of the recombinant ERa antibody should be determined by the researcher.

Immunogen

A recombinant protein fragment from the C-terminal region was used as the immunogen for the recombinant ERa antibody.

Storage

Aliquot the recombinant ERa antibody and store frozen at -20oC or colder. Avoid repeated freeze-thaw cycles.

Cross
Bulk Quote Request Form
Name*:
Organization*:
Email*:
Phone Number*:
Catalog No.*:
Comments and Specifics(amount, formulation, etc.)*:
Validation code: Captchapackage Image


Can't read the image? click here to refresh.
    *required field

Your bulk quote request has been submitted successfully!

Please contact us if you have any questions.