• Tel: 858.663.9055
  • SeparatorEmail: info@nsjbio.com
  • Tel: 858.663.9055
  • Email: info@nsjbio.com
Home >> Antibodies >> Recombinant EpCAM Antibody

Recombinant EpCAM Antibody [clone rEGP40/7133] (V4034)

  Catalog No Formulation Size Price (USD)  
Image V4034-100UG 0.2 mg/ml in 1X PBS with 0.1 mg/ml BSA (US sourced), 0.05% sodium azide 100 ug 539
Image
V4034-20UG 0.2 mg/ml in 1X PBS with 0.1 mg/ml BSA (US sourced), 0.05% sodium azide 20 ug 249
Image
V4034SAF-100UG 1 mg/ml in 1X PBS; BSA free, sodium azide free 100 ug 539
Microvalidated Recmousemono
Bulk quote request
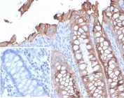
IHC staining of FFPE human colon carcinoma tissue with recombinant EpCAM antibody (clone rEGP40/7133). HIER: boil tissue sections in pH 9 10mM Tris with 1mM EDTA for 20 min and allow to cool before testing.
IHC staining of FFPE human colon tissue with recombinant EpCAM antibody (clone rEGP40/7133). Negative control inset: PBS used instead of primary antibody to control for secondary Ab binding.
Availability 1-3 business days
Species Reactivity Human
Format Purified
Clonality Recombinant Mouse Monoclonal
Isotype Mouse IgG1, kappa
Clone Name rEGP40/7133
Purity Protein A/G affinity
UniProt P16422
Localization Cell surface, cytoplasmic
Applications Flow Cytometry : 1-2ug/million cells
Immunohistochemistry (FFPE) : 1-2ug/ml
Limitations This recombinant EpCAM antibody is available for research use only.
Review this product on BioCompare and get a $20 Amazon gift card

Related Products

  • Applications : IHC-P
    Reactivity : Human, Mouse, Rat, Dog, Cat
    Microvalidated
  • Applications : FACS, IF, IHC-P
    Reactivity : Human
    Citation  Citations(21)
  • Applications : FACS
    Reactivity : Human. Does not react with rat. Other species not known.
    Citation  Citations(9)
  • Applications : FACS, IF, IHC-P
    Reactivity : Human
    Citation  Citations(9)
  • Applications : WB
    Reactivity : Human
  • Applications : FACS
    Reactivity : Human
    Citation  Citations(9)
  • Applications : FACS, IF, WB, IHC-P
    Reactivity : Human
  • Applications : IHC-P
    Reactivity : Human
    Citation  Citations(1)
  • Applications : WB, IHC-P
    Reactivity : Human
    Citation  Citations(6)
  • Applications : FACS, IF, WB, IHC-P
    Reactivity : Human
  • Applications : FACS, IF, WB, IHC-P
    Reactivity : Human
  • Applications : WB, ELISA
    Reactivity : Human
  • Applications : FACS, WB, ELISA
    Reactivity : Human
  • Applications : WB, ELISA
    Reactivity : Human
    Pred. Reactivity : Bovine, Pig
  • Applications : FACS, WB, ELISA
    Reactivity : Mouse, Human
    Pred. Reactivity : Rat
  • Applications : WB, ELISA
    Reactivity : Mouse
    Pred. Reactivity : Rat
  • Applications : WB, ELISA
    Reactivity : Human, Mouse, Rat

Description

EGP40 is a 40-43kDa transmembrane epithelial glycoprotein, also identified as epithelial specific antigen (ESA), or epithelial cellular adhesion molecule (Ep-CAM). It is expressed on baso-lateral cell surface in most simple epithelia and a vast majority of carcinomas. This antibody has been used to distinguish adenocarcinoma from pleural mesothelioma and hepatocellular carcinoma. This antibody is also useful in distinguishing serous carcinomas of the ovary from mesothelioma.

Application Notes

Optimal dilution of the recombinant EpCAM antibody should be determined by the researcher.

Immunogen

Recombinant full-length human protein was used as the immunogen for the recombinant EpCAM antibody.

Storage

Aliquot the recombinant EpCAM antibody and store frozen at -20oC or colder. Avoid repeated freeze-thaw cycles.

Cross
Bulk Quote Request Form
Name*:
Organization*:
Email*:
Phone Number*:
Catalog No.*:
Comments and Specifics(amount, formulation, etc.)*:
Validation code: Captchapackage Image


Can't read the image? click here to refresh.
    *required field

Your bulk quote request has been submitted successfully!

Please contact us if you have any questions.