• Tel: 858.663.9055
  • SeparatorEmail: info@nsjbio.com
  • Tel: 858.663.9055
  • Email: info@nsjbio.com
Home >> Antibodies >> Recombinant EpCAM Antibody / Cytoplasmic domain

Recombinant EpCAM Antibody / Cytoplasmic domain [clone rEGP40/1110] (V3619)

  Catalog No Formulation Size Price (USD)  
Image V3619-100UG 0.2 mg/ml in 1X PBS with 0.1 mg/ml BSA (US sourced) and 0.05% sodium azide 100 ug 539
Image
V3619-20UG 0.2 mg/ml in 1X PBS with 0.1 mg/ml BSA (US sourced) and 0.05% sodium azide 20 ug 249
Image
V3619SAF-100UG 1 mg/ml in 1X PBS; BSA free, sodium azide free 100 ug 539
Image
V3619IHC-7ML Prediluted in 1X PBS with 0.1 mg/ml BSA (US sourced) and 0.05% sodium azide; *For IHC use only* 7 ml 539
Microvalidated Recmousemono
Bulk quote request
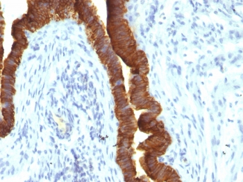
IHC testing of FFPE human ovarian carcinoma with recombinant EpCAM antibody (clone rEGP40/1110). Required HIER: boil tissue sections in 10mM citrate buffer, pH 6, for 10-20 min followed by cooling at RT for 20 min.
SDS-PAGE analysis of purified, BSA-free recombinant EpCAM antibody (clone rEGP40/1110) as confirmation of integrity and purity.
Analysis of HuProt(TM) microarray containing more than 19,000 full-length human proteins using recombinant EpCAM antibody (clone rEGP40/1110). These results demonstrate the foremost specificity of the rEGP40/1110 mAb.
Z- and S- score: The Z-score represents the strength of a signal that an antibody (in combination with a fluorescently-tagged anti-IgG secondary Ab) produces when binding to a particular protein on the HuProt(TM) array. Z-scores are described in units of standard deviations (SD's) above the mean value of all signals generated on that array. If the targets on the HuProt(TM) are arranged in descending order of the Z-score, the S-score is the difference (also in units of SD's) between the Z-scores. The S-score therefore represents the relative target specificity of an Ab to its intended target.
Availability 1-3 business days
Species Reactivity Human
Format Purified
Clonality Recombinant Mouse Monoclonal
Isotype Mouse IgG1
Clone Name rEGP40/1110
Purity Protein G affinity chromatography
UniProt P16422
Localization Cell surface, cytoplasmic
Applications Immunohistochemistry (FFPE) : 0.5-1ug/ml for 30 min at RT
Limitations This recombinant EpCAM antibody is available for research use only.
Review this product on BioCompare and get a $20 Amazon gift card

Related Products

  • Applications : IHC-P
    Reactivity : Human, Mouse, Rat, Dog, Cat
    Microvalidated
  • Applications : FACS, IF, IHC-P
    Reactivity : Human
    Citation  Citations(21)
  • Applications : FACS
    Reactivity : Human. Does not react with rat. Other species not known.
    Citation  Citations(9)
  • Applications : FACS, IF, IHC-P
    Reactivity : Human
    Citation  Citations(9)
  • Applications : WB
    Reactivity : Human
  • Applications : FACS
    Reactivity : Human
    Citation  Citations(9)
  • Applications : FACS, IF, WB, IHC-P
    Reactivity : Human
  • Applications : IHC-P
    Reactivity : Human
    Citation  Citations(1)
  • Applications : WB, IHC-P
    Reactivity : Human
    Citation  Citations(6)
  • Applications : FACS, IF, WB, IHC-P
    Reactivity : Human
  • Applications : FACS, IF, WB, IHC-P
    Reactivity : Human
  • Applications : WB, ELISA
    Reactivity : Human
  • Applications : FACS, WB, ELISA
    Reactivity : Human
  • Applications : WB, ELISA
    Reactivity : Human
    Pred. Reactivity : Bovine, Pig
  • Applications : FACS, WB, ELISA
    Reactivity : Mouse, Human
    Pred. Reactivity : Rat
  • Applications : WB, ELISA
    Reactivity : Mouse
    Pred. Reactivity : Rat
  • Applications : WB, ELISA
    Reactivity : Human, Mouse, Rat

Description

Recombinant EpCAM antibody provides a dependable method for detecting epithelial cell adhesion molecule, a type I transmembrane glycoprotein encoded by the TACSTD1 gene. EpCAM is expressed on the basolateral surfaces of most epithelial tissues and is frequently upregulated in carcinomas. It contributes to cell adhesion, proliferation, and differentiation, and has been recognized as both a stem cell marker and a tumor associated antigen.

EpCAM mediates homophilic interactions that strengthen epithelial cohesion. Beyond adhesion, proteolytic cleavage of its intracellular domain influences transcriptional regulation, linking EpCAM to growth and signaling pathways. Dysregulated expression promotes tumorigenesis, enabling invasion and metastasis. This dual role in normal epithelial biology and cancer makes EpCAM an important focus for both fundamental and clinical studies.

The Recombinant EpCAM antibody clone rEGP40/1110 ensures accurate and reproducible detection. Recombinant technology enhances batch to batch consistency, reducing variability in experiments. Clone rEGP40/1110 has been widely employed in cancer research to evaluate epithelial tumors such as colorectal, breast, and ovarian carcinomas. It is also used to identify epithelial progenitor cells, where EpCAM expression marks populations with regenerative capacity.

Studies with clone rEGP40/1110 have clarified how EpCAM expression reflects epithelial state and tumor progression. Elevated expression correlates with poor prognosis in several cancers, while its role in stem cell biology underscores its importance in regenerative medicine. Researchers rely on this antibody to map EpCAM distribution and understand its contributions to disease and tissue renewal.

NSJ Bioreagents supplies this Recombinant EpCAM antibody to support studies in epithelial biology, oncology, and regenerative research. EpCAM is also referred to as epithelial cell adhesion molecule antibody, TACSTD1 antibody, ESA antibody, and 323A3 12 antibody, reflecting the varied nomenclature used in scientific literature.

Application Notes

Optimal dilution of the recombinant EpCAM antibody should be determined by the researcher.

1. The prediluted format is supplied in a dropper bottle and is optimized for use in IHC. After epitope retrieval step (if required), drip mAb solution onto the tissue section and incubate at RT for 30 min.

Immunogen

A portion of amino acids 289-314 (cytoplasmic domain) was used as the immunogen for the recombinant EpCAM antibody.

Storage

Store the recombinant EpCAM antibody at 2-8oC (with azide) or aliquot and store at -20oC or colder (without azide).

Cross
Bulk Quote Request Form
Name*:
Organization*:
Email*:
Phone Number*:
Catalog No.*:
Comments and Specifics(amount, formulation, etc.)*:
Validation code: Captchapackage Image


Can't read the image? click here to refresh.
    *required field

Your bulk quote request has been submitted successfully!

Please contact us if you have any questions.