• Tel: 858.663.9055
  • SeparatorEmail: info@nsjbio.com
  • Tel: 858.663.9055
  • Email: info@nsjbio.com
Home >> Antibodies >> Recombinant EGFR Antibody / C-Terminal

Recombinant EGFR Antibody / C-Terminal [clone RM294] (R20309)

  Catalog No Formulation Size Price (USD)  
Image R20309-0.1ML Antibody in PBS with 50% glycerol, 1% BSA and 0.09% sodium azide 100 ul 429
Microvalidated Recrabbitmono
Bulk quote request
Western blot of human HeLa cell lysate using recombinant EGFR antibody at a 1:200 dilution. Expected molecular weight: 134-180 kDa depending on glycosylation level.
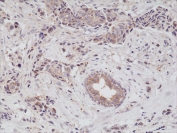
IHC staining of formalin fixed and paraffin embedded human breast cancer tissue using recombinant EGFR antibody at a 1:200 dilution. HIER: steam section in pH6 citrate buffer for 20 min and allow to cool prior to testing.
Availability 1-3 business days
Species Reactivity Human
Format Purified
Clonality Recombinant Rabbit Monoclonal
Isotype Rabbit IgG
Clone Name RM294
Purity Protein A purified from animal origin-free supernatant
UniProt P00533
Localization Cell membrane, cytoplasm
Applications Immunohistochemistry (FFPE) : 1:100-1:200
Western Blot : 1:200-1:500
Limitations This recombinant EGFR antibody is available for research use only.
Review this product on BioCompare and get a $20 Amazon gift card

Related Products

Description

This antibody reacts to human EGF Receptor (c-ErbB-1, HER1). No cross reactivity with HER2, HER3, or HER4 is seen.

Application Notes

The stated application concentrations are suggested starting points. Titration of the recombinant EGFR antibody may be required due to differences in protocols and secondary/substrate sensitivity.

Immunogen

A peptide corresponding to the C-terminus of human EGF Receptor was used as the immunogen for the recombinant EGFR antibody.

Storage

Store the recombinant EGFR antibody at -20oC.

Cross
Bulk Quote Request Form
Name*:
Organization*:
Email*:
Phone Number*:
Catalog No.*:
Comments and Specifics(amount, formulation, etc.)*:
Validation code: Captchapackage Image


Can't read the image? click here to refresh.
    *required field

Your bulk quote request has been submitted successfully!

Please contact us if you have any questions.