• Tel: 858.663.9055
  • SeparatorEmail: info@nsjbio.com
  • Tel: 858.663.9055
  • Email: info@nsjbio.com
Home >> Antibodies >> Recombinant E-Cadherin Antibody / CDH1

Recombinant E-Cadherin Antibody / CDH1 [clone CDH1/9226R] (V5470)

  Catalog No Formulation Size Price (USD)  
Image V5470-100UG 0.2 mg/ml in 1X PBS with 0.1 mg/ml BSA (US sourced), 0.05% sodium azide 100 ug 539
Image
V5470-20UG 0.2 mg/ml in 1X PBS with 0.1 mg/ml BSA (US sourced), 0.05% sodium azide 20 ug 249
Image
V5470SAF-100UG 1 mg/ml in 1X PBS; BSA free, sodium azide free 100 ug 539
Microvalidated Recrabbitmono
Bulk quote request
Western blot testing of human placental tissue lysate with recombinant E-Cadherin antibody. Expected molecular weight: 135 kDa (precursor), 80-120 kDa (mature, depending on glycosylation level).
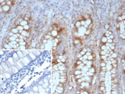
IHC staining of FFPE human colon tissue with recombinant E-Cadherin antibody (clone CDH1/9226R). Inset: PBS used in place of primary Ab (secondary Ab negative control). HIER: boil tissue sections in pH 9 10mM Tris with 1mM EDTA for 20 min and allow to cool before testing.
SDS-PAGE analysis of purified, BSA-free recombinant E-Cadherin antibody (clone CDH1/9226R) as confirmation of integrity and purity.
Availability 1-3 business days
Species Reactivity Human
Format Purified
Clonality Recombinant Rabbit Monoclonal
Isotype Rabbit IgG, kappa
Clone Name CDH1/9226R
Purity Protein A/G affinity
UniProt P12830
Localization Cell membrane
Applications Immunohistochemistry (FFPE) : 1-2ug/ml
Western Blot : 2-4ug/ml
Limitations This recombinant E-Cadherin antibody is available for research use only.
Review this product on BioCompare and get a $20 Amazon gift card

Related Products

Description

E-cadherin is a transmembrane, calcium dependent cell adhesion protein that mediates cell to cell adhesion and maintains structural and functional integrity of epithelial tissues. It also has pivotal barrier functions and maintains the polarity of epithelial cells. Reduced or aberrant E-cadherin expression breaks cell to cell contacts, and thus, cells acquire the ability to migrate. In normal tissues, immunostaining of E-cadherin is localized to the membrane of epithelial cells, consistent with its role in cell adhesion. And in tumor tissues, E-cadherin stains positively in glandular epithelium as well as adenocarcinomas of the lung, gastrointestinal tract, and ovary. It has also been shown to be positive in some thyroid carcinomas. A combination of E-cadherin and p120 catenin may help distinguish ductal carcinoma of the breast from lobular carcinoma. And also, several studies have reported that reduced E-cadherin expression is correlated with poor prognosis in several types of carcinomas.

Application Notes

Optimal dilution of the recombinant E-Cadherin antibody should be determined by the researcher.

Immunogen

A recombinant fragment (within amino acids 600-700) of human Cadherin 1 protein was used as the immunogen for the recombinant E-Cadherin antibody.

Storage

Aliquot the recombinant E-Cadherin antibody and store frozen at -20oC or colder. Avoid repeated freeze-thaw cycles.

Cross
Bulk Quote Request Form
Name*:
Organization*:
Email*:
Phone Number*:
Catalog No.*:
Comments and Specifics(amount, formulation, etc.)*:
Validation code: Captchapackage Image


Can't read the image? click here to refresh.
    *required field

Your bulk quote request has been submitted successfully!

Please contact us if you have any questions.