• Tel: 858.663.9055
  • SeparatorEmail: info@nsjbio.com
  • Tel: 858.663.9055
  • Email: info@nsjbio.com
Home >> Antibodies >> Recombinant Cytokeratin 5 Antibody

Recombinant Cytokeratin 5 Antibody [clone KRT5/4245R] (V8736)

  Catalog No Formulation Size Price (USD)  
Image V8736-100UG 0.2 mg/ml in 1X PBS with 0.1 mg/ml BSA (US sourced) and 0.05% sodium azide 100 ug 539
Image
V8736-20UG 0.2 mg/ml in 1X PBS with 0.1 mg/ml BSA (US sourced) and 0.05% sodium azide 20 ug 249
Image
V8736SAF-100UG 1 mg/ml in 1X PBS; BSA free, sodium azide free 100 ug 539
Microvalidated Recrabbitmono
Bulk quote request
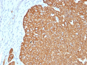
IHC staining of FFPE human basal cell carcinoma with recombinant Cytokeratin 5 antibody (clone KRT5/4245R). HIER: boil tissue sections in pH 9 10mM Tris with 1mM EDTA for 20 min and allow to cool before testing.
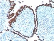
IHC staining of FFPE human tonsil with recombinant Cytokeratin 5 antibody (clone KRT5/4245R). HIER: boil tissue sections in pH 9 10mM Tris with 1mM EDTA for 20 min and allow to cool before testing.
Availability 1-3 business days
Species Reactivity Human
Format Purified
Clonality Recombinant Rabbit Monoclonal
Isotype Rabbit IgG, kappa
Clone Name KRT5/4245R
Purity Protein A affinity chromatography
UniProt P13647
Localization Cytoplasmic
Applications Immunohistochemistry (FFPE) : 1-2ug/ml for 30 minutes at RT
Limitations This recombinant Cytokeratin 5 antibody is available for research use only.
Review this product on BioCompare and get a $20 Amazon gift card

Related Products

Description

This MAb recognizes a protein of 58kDa, which is identified as Cytokeratin 5 (KRT5). This type II cytokeratin is specifically expressed in the basal layer of the epidermis with family member KRT14. Antibodies to KRT5 identify basal cells of squamous and glandular epithelia, myoepithelia, and mesothelium. Anti-cytokeratin 5 has been reported useful in the differential diagnosis of metastatic carcinoma in the pleura versus epithelioid mesothelioma. Almost all squamous cell carcinomas, half of transitional carcinomas, and many undifferentiated large cell carcinomas express. Anti-KRT5, along with anti-p63, affords a high sensitivity and specificity for squamous differentiation. Myoepithelial cells of the breast, glandular epithelia, and basal cells of the prostate are labeled with anti-KRT5.

Application Notes

Optimal dilution of the recombinant Cytokeratin 5 antibody should be determined by the researcher.

Immunogen

A portion of amino acids 490-590 corresponding to C-terminal region of the human protein was used as the immunogen for the recombinant Cytokeratin 5 antibody.

Storage

Store the recombinant Cytokeratin 5 antibody at 2-8oC (with azide) or aliquot and store at -20oC or colder (without azide).

Cross
Bulk Quote Request Form
Name*:
Organization*:
Email*:
Phone Number*:
Catalog No.*:
Comments and Specifics(amount, formulation, etc.)*:
Validation code: Captchapackage Image


Can't read the image? click here to refresh.
    *required field

Your bulk quote request has been submitted successfully!

Please contact us if you have any questions.