• Tel: 858.663.9055
  • SeparatorEmail: info@nsjbio.com
  • Tel: 858.663.9055
  • Email: info@nsjbio.com
Home >> Antibodies >> Recombinant Cytokeratin 20 Antibody / CK20

Recombinant Cytokeratin 20 Antibody / CK20 [clone rKRT20/6536] (V8934)

  Catalog No Formulation Size Price (USD)  
Image V8934-100UG 0.2 mg/ml in 1X PBS with 0.1 mg/ml BSA (US sourced), 0.05% sodium azide 100 ug 539
Image
V8934-20UG 0.2 mg/ml in 1X PBS with 0.1 mg/ml BSA (US sourced), 0.05% sodium azide 20 ug 249
Image
V8934SAF-100UG 1 mg/ml in 1X PBS; BSA free, sodium azide free 100 ug 539
Microvalidated Recmousemono
Bulk quote request
Western blot testing of human HT29 cell lysate with recombinant Cytokeratin 20 antibody. Predicted molecular weight ~46 kDa.
SDS-PAGE analysis of purified, BSA-free recombinant Cytokeratin 20 antibody (clone rKRT20/6536) as confirmation of integrity and purity.
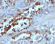
IHC staining of FFPE human colon adenocarcinoma tissue with recombinant Cytokeratin 20 antibody (clone rKRT20/6536). HIER: boil tissue sections in pH 9 10mM Tris with 1mM EDTA for 20 min and allow to cool before testing.
Availability 1-3 business days
Species Reactivity Human
Format Purified
Clonality Recombinant Mouse Monoclonal
Isotype Mouse IgG2a, kappa
Clone Name rKRT20/6536
Purity Protein A/G affinity
UniProt P35900
Localization Cytoplasm
Applications Immunohistochemistry (FFPE) : 1-2ug/ml
Western Blot : 2-4ug/ml
Limitations This recombinant Cytokeratin 20 antibody is available for research use only.
Review this product on BioCompare and get a $20 Amazon gift card

Related Products

Description

This MAb recognizes an intermediate filament protein of 46kDa, identified as cytokeratin 20 (KRT20). KRT20 is abundantly expressed in goblet cells and enterocytes of the gastrointestinal tract. It is a useful marker of pancreatic and colorectal cancer. KRT20 is expressed under normal, hyperplastic and neoplastic conditions. It has been detected in adenocarcinomas of the colon, stomach and biliary tract. Breast carcinomas are generally non-reactive.

Application Notes

Optimal dilution of the recombinant Cytokeratin 20 antibody should be determined by the researcher.

Immunogen

A portion of amino acids 196-323 was used as the immunogen for the recombinant Cytokeratin 20 antibody.

Storage

Aliquot the recombinant Cytokeratin 20 antibody and store frozen at -20oC or colder. Avoid repeated freeze-thaw cycles.

Cross
Bulk Quote Request Form
Name*:
Organization*:
Email*:
Phone Number*:
Catalog No.*:
Comments and Specifics(amount, formulation, etc.)*:
Validation code: Captchapackage Image


Can't read the image? click here to refresh.
    *required field

Your bulk quote request has been submitted successfully!

Please contact us if you have any questions.