• Tel: 858.663.9055
  • SeparatorEmail: info@nsjbio.com
  • Tel: 858.663.9055
  • Email: info@nsjbio.com
Home >> Antibodies >> Recombinant CEA Antibody

Recombinant CEA Antibody [clone C66/3707R] (V8370)

  Catalog No Formulation Size Price (USD)  
Image V8370-100UG 0.2 mg/ml in 1X PBS with 0.1 mg/ml BSA (US sourced) and 0.05% sodium azide 100 ug 539
Image
V8370-20UG 0.2 mg/ml in 1X PBS with 0.1 mg/ml BSA (US sourced) and 0.05% sodium azide 20 ug 249
Image
V8370SAF-100UG 1 mg/ml in 1X PBS; BSA free, sodium azide free 100 ug 539
Microvalidated Recrabbitmono
Bulk quote request
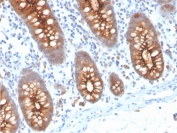
IHC staining of FFPE human colon with recombinant CEA antibody (clone C66/3707R). HIER: boil tissue sections in pH 9 10mM Tris with 1mM EDTA for 20 min and allow to cool before testing.
IHC staining of FFPE human colon with recombinant CEA antibody (clone C66/3707R). HIER: boil tissue sections in pH 9 10mM Tris with 1mM EDTA for 20 min and allow to cool before testing.
Availability 1-3 business days
Species Reactivity Human
Format Purified
Clonality Recombinant Rabbit Monoclonal
Isotype Rabbit IgG
Clone Name C66/3707R
Purity Protein A affinity chromatography
UniProt P06731
Localization Cytoplasmic and luminal surface
Applications Immunohistochemistry (FFPE) : 1-2ug/ml for 30 minutes at RT
Limitations This recombinant CEA antibody is available for research use only.
Review this product on BioCompare and get a $20 Amazon gift card

Related Products

Description

Carcinoembryonic antigen (CEA) is a glycoprotein produced in colorectal cancer tissues. In normal adult tissue, CEA is expressed in the apical border and, to a lesser extent in the cytoplasm, of the columnar cells of colon, small intestine, stomach (surface epithelium, mucous neck cells and weakly in pyloric mucous cells), pancreatic ducts, secretory epithelia of sweat glands, squamous epithelial cells of the tongue, esophagus,uterine cervix, and urothelium. The CEA antibody is a useful aid for classification of adenocarcinomas, notably in the gastrointestinal tract, including colonic and pancreatic carcinomas. IHC results also aid in the classification of secretory meningiomas and medullary carcinoma of the thyroid.

Application Notes

Optimal dilution of the recombinant CEA antibody should be determined by the researcher.

Immunogen

Recombinant full-length human CEA protein was used as the immunogen for the recombinant CEA antibody.

Storage

Store the recombinant CEA antibody at 2-8oC (with azide) or aliquot and store at -20oC or colder (without azide).

Cross
Bulk Quote Request Form
Name*:
Organization*:
Email*:
Phone Number*:
Catalog No.*:
Comments and Specifics(amount, formulation, etc.)*:
Validation code: Captchapackage Image


Can't read the image? click here to refresh.
    *required field

Your bulk quote request has been submitted successfully!

Please contact us if you have any questions.