• Tel: 858.663.9055
  • SeparatorEmail: info@nsjbio.com
  • Tel: 858.663.9055
  • Email: info@nsjbio.com
Home >> Antibodies >> Recombinant CD79a Antibody

Recombinant CD79a Antibody [clone rIGA/764] (V3580)

  Catalog No Formulation Size Price (USD)  
Image V3580-100UG 0.2 mg/ml in 1X PBS with 0.1 mg/ml BSA (US sourced) and 0.05% sodium azide 100 ug 539
Image
V3580-20UG 0.2 mg/ml in 1X PBS with 0.1 mg/ml BSA (US sourced) and 0.05% sodium azide 20 ug 249
Image
V3580SAF-100UG 1 mg/ml in 1X PBS; BSA free, sodium azide free 100 ug 539
Image
V3580IHC-7ML Prediluted in 1X PBS with 0.1 mg/ml BSA (US sourced) and 0.05% sodium azide; *For IHC use only* 7 ml 539
Microvalidated Recmousemono
Bulk quote request
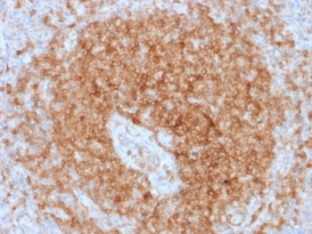
IHC testing of FFPE human spleen with recombinant CD79a antibody (clone rIGA/764). Required HIER: boil tissue sections in pH 9 10mM Tris with 1mM EDTA for 10-20 min followed by cooling at RT for 20 min.
Flow cytometry testing of human Raji cells with recombinant CD79a antibody (clone rIGA/764); Red=isotype control, Blue= CD79a antibody.
Immunofluorescent staining of PFA-fixed human Raji cells with recombinant CD79a antibody (green, clone rIGA/764) and Reddot nuclear stain (red).
Analysis of HuProt(TM) microarray containing more than 19,000 full-length human proteins using CD79a antibody (clone rIGA/764). These results demonstrate the foremost specificity of the rIGA/764 mAb.
Z- and S- score: The Z-score represents the strength of a signal that an antibody (in combination with a fluorescently-tagged anti-IgG secondary Ab) produces when binding to a particular protein on the HuProt(TM) array. Z-scores are described in units of standard deviations (SD's) above the mean value of all signals generated on that array. If the targets on the HuProt(TM) are arranged in descending order of the Z-score, the S-score is the difference (also in units of SD's) between the Z-scores. The S-score therefore represents the relative target specificity of an Ab to its intended target.
SDS-PAGE analysis of purified, BSA-free recombinant CD79a antibody (clone rIGA/764) as confirmation of integrity and purity.
Availability 1-3 business days
Species Reactivity Human
Format Purified
Clonality Recombinant Mouse Monoclonal
Isotype Mouse IgG1, kappa
Clone Name rIGA/764
Purity Protein G affinity chromatography
UniProt P11912
Localization Cell surface, cytoplasmic
Applications Flow Cytometry : 1-2ug/10^6 cells
Immunofluorescence : 1-2ug/ml
Immunohistochemistry (FFPE) : 1-2ug/ml for 30 min at RT
Limitations This recombinant CD79a antibody is available for research use only.
Review this product on BioCompare and get a $20 Amazon gift card

Related Products

Description

Recombinant CD79a antibody is used to detect CD79a, a signaling protein that forms part of the B cell receptor complex. CD79a, also known as Ig alpha, pairs with CD79b to assemble the receptor module that transmits antigen recognition signals into the cell. It is expressed throughout B cell development and is indispensable for B cell activation, proliferation, and differentiation into antibody secreting cells. Because of this, CD79a is studied in immunology, oncology, and diagnostic pathology.

CD79a contains immunoreceptor tyrosine based activation motifs in its cytoplasmic domain. When antigen engages membrane immunoglobulin, these motifs are phosphorylated, leading to recruitment of kinases and activation of downstream pathways. This signaling cascade ensures that B cells respond appropriately to antigens and mount protective immune responses. The absence or dysfunction of CD79a impairs B cell survival and immune function.

The Recombinant CD79a antibody clone rIGA/764 provides precise and reproducible recognition of this receptor subunit. Recombinant technology ensures consistent performance across batches, which is essential for comparative studies. Clone rIGA/764 has been applied in developmental biology to trace B cell maturation and in oncology to identify B cell lymphomas. Its specificity makes it a dependable reagent for both basic research and clinical contexts.

Research using clone rIGA/764 has clarified how B cell receptor signaling governs adaptive immunity and how disruptions contribute to disease. Altered expression of CD79a is seen in certain immunodeficiencies and in malignancies such as chronic lymphocytic leukemia. The antibody also aids studies into therapeutic strategies that target B cell survival pathways.

NSJ Bioreagents supplies this Recombinant CD79a antibody to support studies of B cell development, signaling, and pathology. The protein is also described as Ig alpha antibody, mb1 antibody, CD79 alpha chain antibody, and B cell receptor signaling component antibody, reflecting the varied terminology used in research.

Application Notes

Optimal dilution of the recombinant CD79a antibody should be determined by the researcher.

1. The prediluted format is supplied in a dropper bottle and is optimized for use in IHC. After epitope retrieval step (if required), drip mAb solution onto the tissue section and incubate at RT for 30 min.

Immunogen

Recombinant human CD79a alpha chain protein was used as the immunogen for the recombinant CD79a antibody.

Storage

Store the recombinant CD79a antibody at 2-8oC (with azide) or aliquot and store at -20oC or colder (without azide).

Cross
Bulk Quote Request Form
Name*:
Organization*:
Email*:
Phone Number*:
Catalog No.*:
Comments and Specifics(amount, formulation, etc.)*:
Validation code: Captchapackage Image


Can't read the image? click here to refresh.
    *required field

Your bulk quote request has been submitted successfully!

Please contact us if you have any questions.