• Tel: 858.663.9055
  • SeparatorEmail: info@nsjbio.com
  • Tel: 858.663.9055
  • Email: info@nsjbio.com
Home >> Antibodies >> Recombinant CD68 Antibody

Recombinant CD68 Antibody [clone rLAMP4/824] (V8260)

  Catalog No Formulation Size Price (USD)  
Image V8260-100UG 0.2 mg/ml in 1X PBS with 0.1 mg/ml BSA (US sourced) and 0.05% sodium azide 100 ug 539
Image
V8260-20UG 0.2 mg/ml in 1X PBS with 0.1 mg/ml BSA (US sourced) and 0.05% sodium azide 20 ug 249
Image
V8260SAF-100UG 1 mg/ml in 1X PBS; BSA free, sodium azide free 100 ug 539
Microvalidated Recmousemono
Bulk quote request
Immunofluorescent staining of permeabilzed human U-87 MG cells with recombinant CD68 antibody (clone rLAMP4/824, green) and Reddot nuclear stain (red).
Western blot testing of human spleen lysate with recombinant CD68 antibody. Expected molecular weight: 37-110 kDa depending on glycosylation level.
IHC staining of FFPE human tonsil with recombinant CD68 antibody (clone rLAMP4/824). HIER: boil tissue sections in pH 9 10mM Tris with 1mM EDTA for 10-20 min followed by cooling at RT for 20 min.
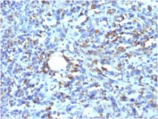
IHC staining of FFPE human histiocytoma with recombinant CD68 antibody (clone rLAMP4/824). HIER: boil tissue sections in pH 9 10mM Tris with 1mM EDTA for 10-20 min followed by cooling at RT for 20 min.
SDS-PAGE analysis of purified, BSA-free recombinant CD68 antibody (clone rLAMP4/824) as confirmation of integrity and purity.
Availability 1-3 business days
Species Reactivity Human
Format Purified
Clonality Recombinant Mouse Monoclonal
Isotype Mouse IgG1, kappa
Clone Name rLAMP4/824
Purity Protein G affinity chromatography
UniProt P34810
Localization Cell surface, cytoplasmic
Applications Immunofluorescence : 1-2ug/ml
Western Blot : 1-2ug/ml
Immunohistochemistry (FFPE) : 1-2ug/ml
Limitations This recombinant CD68 antibody is available for research use only.
Review this product on BioCompare and get a $20 Amazon gift card

Related Products

Description

This antibody recognizes a glycoprotein of 110kDa, which is identified as CD68. It is important for identifying macrophages in tissue sections. It stains macrophages in a wide variety of human tissues, including Kupffer cells and macrophages in the red pulp of the spleen, in lamina propria of the gut, in lung alveoli, and in bone marrow. It reacts with myeloid precursors and peripheral blood granulocytes. It also reacts with plasmacytoid T cells, which are supposed to be of monocyte/macrophage origin. It shows strong granular cytoplasmic staining of chronic and acute myeloid leukemia and also reacts with rare cases of true histiocytic neoplasia. Lymphomas are negative or show few granules.

Application Notes

Optimal dilution of the recombinant CD68 antibody should be determined by the researcher.

Immunogen

A recombinant full-length human protein was used as the immunogen for this recombinant CD68 antibody.

Storage

Store the recombinant CD68 antibody at 2-8oC (with azide) or aliquot and store at -20oC or colder (without azide).

Cross
Bulk Quote Request Form
Name*:
Organization*:
Email*:
Phone Number*:
Catalog No.*:
Comments and Specifics(amount, formulation, etc.)*:
Validation code: Captchapackage Image


Can't read the image? click here to refresh.
    *required field

Your bulk quote request has been submitted successfully!

Please contact us if you have any questions.