• Tel: 858.663.9055
  • SeparatorEmail: info@nsjbio.com
  • Tel: 858.663.9055
  • Email: info@nsjbio.com
Home >> Antibodies >> Recombinant CD45 Antibody Cocktail

Recombinant CD45 Antibody Cocktail [clone PTPRC/1975R + PTPRC/1783R] (V7330)

  Catalog No Formulation Size Price (USD)  
Image V7330-100UG 0.2 mg/ml in 1X PBS with 0.1 mg/ml BSA (US sourced) and 0.05% sodium azide 100 ug 539
Image
V7330-20UG 0.2 mg/ml in 1X PBS with 0.1 mg/ml BSA (US sourced) and 0.05% sodium azide 20 ug 249
Image
V7330SAF-100UG 1 mg/ml in 1X PBS; BSA free, sodium azide free 100 ug 539
Image
V7330IHC-7ML Prediluted in 1X PBS with 0.1 mg/ml BSA (US sourced) and 0.05% sodium azide; *For IHC use only* 7 ml 539
Microvalidated Recrabbitmono
Bulk quote request
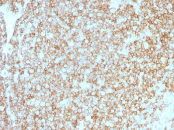
IHC testing of recombinant CD45 antibody cocktail and FFPE human tonsil (clones PTPRC/1975R + PTPRC/1783R). Required HIER: boil tissue sections in 10mM citrate buffer, pH 6, for 10-20 min followed by cooling at RT for 20 min.
Western blot testing of human spleen lysate with recombinant CD45 antibody.
Availability 1-3 business days
Species Reactivity Human
Format Purified
Clonality Recombinant Rabbit Monoclonal
Isotype Rabbit IgG, kappa
Clone Name PTPRC/1975R + PTPRC/1783R
Purity Protein A affinity chromatography
UniProt P08575
Localization Cell surface and cytoplasmic
Applications Western Blot : 1-2ug/ml
Immunohistochemistry (FFPE) : 0.5-1ug/ml for 30 min at RT
Limitations This recombinant CD45 antibody cocktail is available for research use only.
Review this product on BioCompare and get a $20 Amazon gift card

Related Products

Description

CD45R, also designated CD45 and PTPRC, has been identified as a transmembrane glycoprotein, broadly expressed among hematopoietic cells. Multiple isoforms of CD45R are distributed throughout the immune system according to cell type. These isoforms arise because of alternative splicing of exons 4, 5, and 6. The corresponding protein domains are characterized by the binding of monoclonal antibodies specific for CD45RA (exon 4), CD45RB (exon 5), CD45RC (exon 6) and CD45RO (exons 4 to 6 spliced out). The variation in these isoforms is localized to the extracellular domain of CD45R, while the intracellular domain is conserved. CD45R functions as a phosphor-tyrosine phosphatase. Antibody to CD45 is useful in differential diagnosis of lymphoid tumors from non-hematopoietic undifferentiated neoplasms.

Application Notes

Due to variation in protocol and secondary antibody used, the recombinant CD45 antibody cocktail may need to be titered for optimal performance.

1. The prediluted format is supplied in a dropper bottle and is optimized for use in IHC. After epitope retrieval step (if required), drip mAb solution onto the tissue section and incubate at RT for 30 min.

Immunogen

Recombinant human protein was used as immunogen for this recombinant CD45 antibody cocktail.

Storage

The recombinant CD45 antibody cocktail (with azide) can be stored at 2-8oC. The azide-free format should be aliquoted and stored at -20oC or colder.

Cross
Bulk Quote Request Form
Name*:
Organization*:
Email*:
Phone Number*:
Catalog No.*:
Comments and Specifics(amount, formulation, etc.)*:
Validation code: Captchapackage Image


Can't read the image? click here to refresh.
    *required field

Your bulk quote request has been submitted successfully!

Please contact us if you have any questions.