• Tel: 858.663.9055
  • SeparatorEmail: info@nsjbio.com
  • Tel: 858.663.9055
  • Email: info@nsjbio.com
Home >> Antibodies >> Recombinant CD44 Antibody

Recombinant CD44 Antibody [clone HCAM/4110R] (V8762)

  Catalog No Formulation Size Price (USD)  
Image V8762-100UG 0.2 mg/ml in 1X PBS with 0.1 mg/ml BSA (US sourced) and 0.05% sodium azide 100 ug 539
Image
V8762-20UG 0.2 mg/ml in 1X PBS with 0.1 mg/ml BSA (US sourced) and 0.05% sodium azide 20 ug 249
Image
V8762SAF-100UG 1 mg/ml in 1X PBS; BSA free, sodium azide free 100 ug 539
Microvalidated Recrabbitmono
Bulk quote request
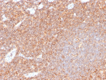
IHC staining of FFPE human tonsil with recombinant CD44 antibody (clone HCAM/4110R). HIER: boil tissue sections in pH 9 10mM Tris with 1mM EDTA for 10-20 min followed by cooling at RT for 20 min.
IHC staining of FFPE human tonsil with recombinant CD44 antibody (clone HCAM/4110R). HIER: boil tissue sections in pH 9 10mM Tris with 1mM EDTA for 10-20 min followed by cooling at RT for 20 min.
IHC staining of FFPE human tonsil with recombinant CD44 antibody (clone HCAM/4110R). HIER: boil tissue sections in pH 9 10mM Tris with 1mM EDTA for 10-20 min followed by cooling at RT for 20 min.
Availability 1-3 business days
Species Reactivity Human
Format Purified
Clonality Recombinant Rabbit Monoclonal
Isotype Rabbit IgG, kappa
Clone Name HCAM/4110R
Purity Protein A affinity chromatography
UniProt P16070
Localization Cell surface
Applications Immunohistochemistry (FFPE) : 1-2ug/ml for 30 minutes at RT
Limitations This recombinant CD44 antibody is available for research use only.
Review this product on BioCompare and get a $20 Amazon gift card

Related Products

Description

CD44 is an adhesion molecule, which binds hyaluronic acid and participates in a number of cell-cell interactions, including lymphocyte homing.CD44 is expressed on approximately 90% of lymphocytes, monocytes, granulocytes, and, in lower amounts on thymocytes, fibroblasts, and erythrocytes. The expression of specific cell adhesion molecule CD44 splice variants has been reported to be associated with metastasis in certain human malignancies.

Application Notes

Optimal dilution of the recombinant CD44 antibody should be determined by the researcher.

Immunogen

A portion of amino acids 150-250 from the human protein was used as the immunogen for the recombinant CD44 antibody.

Storage

Store the recombinant CD44 antibody at 2-8oC (with azide) or aliquot and store at -20oC or colder (without azide).

Cross
Bulk Quote Request Form
Name*:
Organization*:
Email*:
Phone Number*:
Catalog No.*:
Comments and Specifics(amount, formulation, etc.)*:
Validation code: Captchapackage Image


Can't read the image? click here to refresh.
    *required field

Your bulk quote request has been submitted successfully!

Please contact us if you have any questions.