• Tel: 858.663.9055
  • SeparatorEmail: info@nsjbio.com
  • Tel: 858.663.9055
  • Email: info@nsjbio.com
Home >> Antibodies >> Recombinant CD43 Antibody / Rabbit Monoclonal

Recombinant CD43 Antibody / Rabbit Monoclonal [clone CDLA43-2R] (V3745)

  Catalog No Formulation Size Price (USD)  
Image V3745-100UG 0.2 mg/ml in 1X PBS with 0.1 mg/ml BSA (US sourced) and 0.05% sodium azide 100 ug 539
Image
V3745-20UG 0.2 mg/ml in 1X PBS with 0.1 mg/ml BSA (US sourced) and 0.05% sodium azide 20 ug 249
Image
V3745SAF-100UG 1 mg/ml in 1X PBS; BSA free, sodium azide free 100 ug 539
Image
V3745IHC-7ML Prediluted in 1X PBS with 0.1 mg/ml BSA (US sourced) and 0.05% sodium azide; *For IHC use only* 7 ml 539
Microvalidated Recrabbitmono
Bulk quote request
Immunofluorescence staining of human K562 cells with recombinant CD43 antibody (clone CDLA43-2R, green) and NucSpot (red).
Western blot testing of human K562 cell lysate with recombinant CD43 antibody (clone CDLA43-2R). Expected molecular weight: 45-135 kDa depending on glycosylation level.
Flow cytometry testing of PFA-fixed human K562 cells with recombinant CD43 antibody (clone CDLA43-2R); Red=isotype control, Blue= recombinant CD43 antibody.
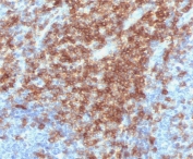
IHC staining of FFPE human tonsil tissue with recombinant CD43 antibody (clone CDLA43-2R). Required HIER: boil tissue sections in pH 9 10mM Tris with 1mM EDTA for 10-20 min followed by cooling at RT for 20 min.
Availability 1-3 business days
Species Reactivity Human
Format Purified
Clonality Recombinant Rabbit Monoclonal
Isotype Rabbit IgG, kappa
Clone Name CDLA43-2R
Purity Protein A affinity chromatography
UniProt P16150
Localization Cell surface
Applications Western Blot : 1-2ug/ml
Flow Cytometry : 1-2ug/10^6 cells
Immunofluorescence : 1-2ug/ml
Immunohistochemistry (FFPE) : 1-2ug/ml for 30 min at RT (1)
Limitations This recombinant CD43 antibody is available for research use only.
Review this product on BioCompare and get a $20 Amazon gift card

Related Products

Description

CD43 is one of the major glycoproteins of thymocytes and T lymphocytes. Plays a role in the physicochemical properties of the T-cell surface and in lectin binding. Presents carbohydrate ligands to selectins. Has an extended rodlike structure that could protrude above the glycocalyx of the cell and allow multiple glycan chains to be accessible for binding. Is a counter-receptor for SN/Siglec-1 (By similarity). During T-cell activation is actively removed from the T-cell-APC (antigen-presenting cell) contact site thus suggesting a negative regulatory role in adaptive immune response (By similarity). [UniProt]

Application Notes

The stated application concentrations are suggested starting points. Titration of the recombinant CD43 antibody may be required due to differences in protocols and secondary/substrate sensitivity.

1. The prediluted format is supplied in a dropper bottle and is optimized for use in IHC. After epitope retrieval step (if required), drip mAb solution onto the tissue section and incubate at RT for 30 min.

Immunogen

Recombinant human protein was used as the immunogen for the recombinant CD43 antibody.

Storage

Store the recombinant CD43 antibody at 2-8oC (with azide) or aliquot and store at -20oC or colder (without azide).

Cross
Bulk Quote Request Form
Name*:
Organization*:
Email*:
Phone Number*:
Catalog No.*:
Comments and Specifics(amount, formulation, etc.)*:
Validation code: Captchapackage Image


Can't read the image? click here to refresh.
    *required field

Your bulk quote request has been submitted successfully!

Please contact us if you have any questions.