• Tel: 858.663.9055
  • SeparatorEmail: info@nsjbio.com
  • Tel: 858.663.9055
  • Email: info@nsjbio.com
Home >> Antibodies >> Recombinant CD3e Antibody / CD3 epsilon

Recombinant CD3e Antibody / CD3 epsilon [clone C3e/3125R] (V7557)

  Catalog No Formulation Size Price (USD)  
Image V7557-100UG 0.2 mg/ml in 1X PBS with 0.1 mg/ml BSA (US sourced) and 0.05% sodium azide 100 ug 539
Image
V7557-20UG 0.2 mg/ml in 1X PBS with 0.1 mg/ml BSA (US sourced) and 0.05% sodium azide 20 ug 249
Image
V7557SAF-100UG 1 mg/ml in 1X PBS; BSA free, sodium azide free 100 ug 539
Microvalidated Recrabbitmono
Bulk quote request
Western blot testing of human MOLT-4 cell lysate with recombinant CD3e antibody (clone C3e/3125R). Predicted molecular weight ~23 kDa.
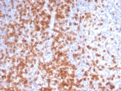
IHC staining of FFPE human tonsil with recombinant CD3e antibody (clone C3e/3125R). HIER: boil tissue sections in pH 9 10mM Tris with 1mM EDTA for 10-20 min and allow to cool before testing.
SDS-PAGE analysis of purified, BSA-free recombinant CD3e antibody (clone C3e/3125R) as confirmation of integrity and purity.
IHC staining of FFPE human tonsil with recombinant CD3e antibody (clone C3e/3125R). HIER: boil tissue sections in pH 9 10mM Tris with 1mM EDTA for 10-20 min and allow to cool before testing.
Availability 1-3 business days
Species Reactivity Human
Format Purified
Clonality Recombinant Rabbit Monoclonal
Isotype Rabbit IgG
Clone Name C3e/3125R
Purity Protein A affinity chromatography
UniProt P07766
Localization Cell surface, cytoplasmic
Applications ELISA (order BSA-free Format For Coating) :
Western Blot : 1-2ug/ml
Immunohistochemistry (FFPE) : 1-2ug/ml
Limitations This recombinant CD3e antibody is available for research use only.
Review this product on BioCompare and get a $20 Amazon gift card

Related Products

Description

Recombinant CD3e antibody detects CD3 epsilon, a component of the CD3 complex encoded by the CD3E gene. CD3 epsilon is an integral part of the T-cell receptor complex, which is essential for antigen recognition and T-cell activation. Because CD3 is expressed on nearly all mature T cells, Recombinant CD3e antibody is an indispensable tool in immunology, oncology, and diagnostic research.

The CD3 complex includes CD3 epsilon, gamma, delta, and zeta chains, which associate with the T-cell receptor alpha and beta chains. CD3 epsilon contains immunoreceptor tyrosine-based activation motifs (ITAMs) in its cytoplasmic tail, which initiate signaling upon T-cell receptor engagement. These motifs recruit kinases such as Lck and Zap70, triggering cascades that regulate proliferation, differentiation, and cytokine production.

The Recombinant CD3e antibody clone C3e/3125R provides consistent and specific recognition. Recombinant production ensures reproducibility across batches, minimizing variability in long-term studies. Clone C3e/3125R has been referenced in peer-reviewed publications investigating T-cell signaling, thymocyte development, and immunotherapy. Its specificity makes it suitable for flow cytometry, immunohistochemistry, and functional assays of T-cell activation.

Research using clone C3e/3125R has demonstrated how CD3 epsilon expression is indispensable for T-cell development in the thymus and for peripheral immune responses. In oncology, CD3 detection helps characterize tumor-infiltrating lymphocytes and supports the development of bispecific antibodies and CAR T-cell therapies that rely on CD3 engagement. Beyond cancer, CD3 studies are central to understanding autoimmunity, infectious disease, and transplant rejection, where T-cell activity is a determining factor.

NSJ Bioreagents supplies this Recombinant CD3e antibody to support T-cell biology, immunotherapy, and diagnostic applications. Alternate names include CD3E antibody, T-cell surface glycoprotein CD3 epsilon chain antibody, T-cell receptor-associated protein epsilon antibody, T-cell receptor signaling component antibody, and thymocyte differentiation antigen antibody.

Application Notes

Optimal dilution of the recombinant CD3e antibody should be determined by the researcher.

Immunogen

A recombinant human partial protein (amino acids 23-119) was used as the immunogen for the recombinant CD3e antibody.

Storage

Store the recombinant CD3e antibody at 2-8oC (with azide) or aliquot and store at -20oC or colder (without azide).

Cross
Bulk Quote Request Form
Name*:
Organization*:
Email*:
Phone Number*:
Catalog No.*:
Comments and Specifics(amount, formulation, etc.)*:
Validation code: Captchapackage Image


Can't read the image? click here to refresh.
    *required field

Your bulk quote request has been submitted successfully!

Please contact us if you have any questions.