• Tel: 858.663.9055
  • SeparatorEmail: info@nsjbio.com
  • Tel: 858.663.9055
  • Email: info@nsjbio.com
Home >> Antibodies >> Recombinant CD35 Antibody

Recombinant CD35 Antibody [clone CR1/7016R] (V9522)

  Catalog No Formulation Size Price (USD)  
Image V9522-100UG 0.2 mg/ml in 1X PBS with 0.1 mg/ml BSA (US sourced), 0.05% sodium azide 100 ug 539
Image
V9522-20UG 0.2 mg/ml in 1X PBS with 0.1 mg/ml BSA (US sourced), 0.05% sodium azide 20 ug 249
Image
V9522SAF-100UG 1 mg/ml in 1X PBS; BSA free, sodium azide free 100 ug 539
Microvalidated Recrabbitmono
Bulk quote request
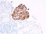
IHC staining of FFPE human kidney tissue with recombinant CD35 antibody (clone CD35/7016R) at 2ug/ml. HIER: boil tissue sections in pH 9 10mM Tris with 1mM EDTA for 20 min and allow to cool before testing.
IHC staining of FFPE human kidney tissue with recombinant CD35 antibody (clone CD35/7016R) at 2ug/ml. Negative control inset: PBS used instead of primary antibody to control for secondary Ab binding. HIER: boil tissue sections in pH 9 10mM Tris with 1mM EDTA for 20 min and allow to cool before testing.
SDS-PAGE analysis of purified, BSA-free recombinant CD35 antibody (clone CR1/7016R) as confirmation of integrity and purity.
Availability 1-3 business days
Species Reactivity Human
Format Purified
Clonality Recombinant Rabbit Monoclonal
Isotype Rabbit IgG, kappa
Clone Name CR1/7016R
Purity Protein A/G affinity
UniProt P17927
Localization Cell surface
Applications Immunohistochemistry (FFPE) : 1-2ug/ml
Limitations This recombinant CD35 antibody is available for research use only.
Review this product on BioCompare and get a $20 Amazon gift card

Related Products

Description

CD35, complement receptor 1, is a cell membrane-bound, monomeric glycoprotein on numerous cell types including erythrocytes, leukocytes, glomerular podocytes, and follicular dendritic cells. The primary function of CD35 is to serve as the cellular receptor for C3b and C4b, the most important components of the complement system leading to clearance of foreign macromolecules. CD35 antigen is found on erythrocytes, B cells, a subset of T cells, monocytes, as well as eosinophils, and neutrophils. Anti-CD35 is considered a mature B-cell marker which labels follicular dendritic reticulum cells and tumors derived from such cells such as follicular dendritic cell tumor/sarcoma.

Application Notes

Optimal dilution of the recombinant CD35 antibody should be determined by the researcher.

Immunogen

Recombinant full-length human CR1 protein was used as the immunogen for the recombinant CD35 antibody.

Storage

Aliquot the recombinant CD35 antibody and store frozen at -20oC or colder. Avoid repeated freeze-thaw cycles.

Cross
Bulk Quote Request Form
Name*:
Organization*:
Email*:
Phone Number*:
Catalog No.*:
Comments and Specifics(amount, formulation, etc.)*:
Validation code: Captchapackage Image


Can't read the image? click here to refresh.
    *required field

Your bulk quote request has been submitted successfully!

Please contact us if you have any questions.