• Tel: 858.663.9055
  • SeparatorEmail: info@nsjbio.com
  • Tel: 858.663.9055
  • Email: info@nsjbio.com
Home >> Antibodies >> Recombinant CD276 Antibody / B7-H3 / Cytoplasmic domain

Recombinant CD276 Antibody / B7-H3 / Cytoplasmic domain [clone RM335] (R20359)

  Catalog No Formulation Size Price (USD)  
Image R20359-0.1ML Antibody in PBS with 50% glycerol, 1% BSA and 0.09% sodium azide 100 ul 429
Microvalidated Recrabbitmono
Bulk quote request
Western blot testing of human LNCaP cell lysate with recombinant CD276 antibody at 1:10,000 dilution. Expected molecular weight: 57-110 kDa depending on level of glycosylation.
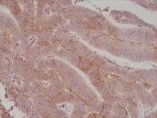
IHC staining of FFPE human colon cancer tissue with recombinant CD276 antibody at 1:1000.
Availability 1-3 business days
Species Reactivity Human
Format Purified
Clonality Recombinant Rabbit Monoclonal
Isotype Rabbit IgG
Clone Name RM335
Purity Protein A purified from animal origin-free supernatant
UniProt Q5ZPR3
Localization Cell surface, cytoplasm
Applications Immunohistochemistry (FFPE) : 1:500-1:1000
Western Blot : 1:5000-1:10000
Limitations This recombinant CD276 antibody is available for research use only.
Review this product on BioCompare and get a $20 Amazon gift card

Related Products

Description

This antibody reacts to the cytoplasmic domain of human CD276 (B7-H3).

Application Notes

The stated application concentrations are suggested starting points. Titration of the recombinant CD276 antibody may be required due to differences in protocols and secondary/substrate sensitivity.

Immunogen

A peptide corresponding to the C-terminus of human CD276 (B7-H3) was used as the immunogen for the recombinant CD276 antibody.

Storage

Store the recombinant CD276 antibody at -20oC.

Cross
Bulk Quote Request Form
Name*:
Organization*:
Email*:
Phone Number*:
Catalog No.*:
Comments and Specifics(amount, formulation, etc.)*:
Validation code: Captchapackage Image


Can't read the image? click here to refresh.
    *required field

Your bulk quote request has been submitted successfully!

Please contact us if you have any questions.