• Tel: 858.663.9055
  • SeparatorEmail: info@nsjbio.com
  • Tel: 858.663.9055
  • Email: info@nsjbio.com
Home >> Antibodies >> Recombinant CD171 Antibody / NCAM-L1 / L1CAM

Recombinant CD171 Antibody / NCAM-L1 / L1CAM [clone L1CAM/9267R] (V5535)

  Catalog No Formulation Size Price (USD)  
Image V5535-100UG 0.2 mg/ml in 1X PBS with 0.1 mg/ml BSA (US sourced), 0.05% sodium azide 100 ug 539
Image
V5535-20UG 0.2 mg/ml in 1X PBS with 0.1 mg/ml BSA (US sourced), 0.05% sodium azide 20 ug 249
Image
V5535SAF-100UG 1 mg/ml in 1X PBS; BSA free, sodium azide free 100 ug 539
Microvalidated Recrabbitmono
Bulk quote request
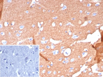
IHC staining of FFPE human brain tissue with recombinant CD171 antibody (clone L1CAM/9267R). Inset: PBS used in place of primary Ab (secondary Ab negative control). HIER: boil tissue sections in pH 9 10mM Tris with 1mM EDTA for 20 min and allow to cool before testing.
SDS-PAGE analysis of purified, BSA-free recombinant CD171 antibody (clone L1CAM/9267R) as confirmation of integrity and purity.
Availability 1-3 business days
Species Reactivity Human
Format Purified
Clonality Recombinant Rabbit Monoclonal
Isotype Rabbit IgG, kappa
Clone Name L1CAM/9267R
Purity Protein A/G affinity
UniProt P32004
Localization Cytoplasm, Cell membrane
Applications Immunohistochemistry (FFPE) : 1-2ug/ml
Limitations This recombinant CD171 antibody is available for research use only.
Review this product on BioCompare and get a $20 Amazon gift card

Related Products

Description

L1 (L1 cell adhesion molecule) also known as CAML1, CD171, and HSAS is an adhesion molecule which plays an important role in the nervous system development, including neuronal migration and differentiation. Mutations in the gene cause three X-linked neurological syndromes known by the acronym CRASH (corpus callosum hypoplasia, retardation, aphasia, spastic paraplegia and hydrocephalus). This mouse monoclonal antibody recognizes the sequence immediately NH2-terminal to the tyrosine-based motif and binds L1 only when Y1176 is dephosphorylated. Phosphorylation of either T1172 or Y1176 strongly inhibits binding of 74-5H7 to the L1 cytoplasmic domain.

Application Notes

Optimal dilution of the recombinant CD171 antibody should be determined by the researcher.

Immunogen

A recombinant fragment (within amino acids 600-900) of human L1CAM protein was used as the immunogen for the recombinant CD171 antibody.

Storage

Aliquot the recombinant CD171 antibody and store frozen at -20oC or colder. Avoid repeated freeze-thaw cycles.

Cross
Bulk Quote Request Form
Name*:
Organization*:
Email*:
Phone Number*:
Catalog No.*:
Comments and Specifics(amount, formulation, etc.)*:
Validation code: Captchapackage Image


Can't read the image? click here to refresh.
    *required field

Your bulk quote request has been submitted successfully!

Please contact us if you have any questions.