• Tel: 858.663.9055
  • SeparatorEmail: info@nsjbio.com
  • Tel: 858.663.9055
  • Email: info@nsjbio.com
Home >> Antibodies >> Recombinant CD151 Antibody

Recombinant CD151 Antibody [clone CD151/9297R] (V5557)

  Catalog No Formulation Size Price (USD)  
Image V5557-100UG 0.2 mg/ml in 1X PBS with 0.1 mg/ml BSA (US sourced), 0.05% sodium azide 100 ug 539
Image
V5557-20UG 0.2 mg/ml in 1X PBS with 0.1 mg/ml BSA (US sourced), 0.05% sodium azide 20 ug 249
Image
V5557SAF-100UG 1 mg/ml in 1X PBS; BSA free, sodium azide free 100 ug 539
Microvalidated Recrabbitmono
Bulk quote request
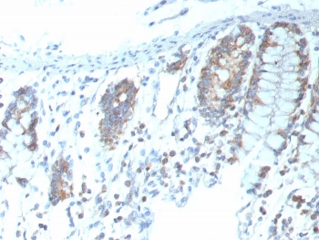
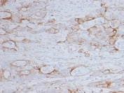
IHC staining of FFPE human colon tissue with recombinant CD151 antibody (clone CD151/9297R). HIER: boil tissue sections in pH 9 10mM Tris with 1mM EDTA for 20 min and allow to cool before testing.
SDS-PAGE analysis of purified, BSA-free recombinant CD151 antibody (clone CD151/9297R) as confirmation of integrity and purity.
Availability 1-3 business days
Species Reactivity Human
Format Purified
Clonality Recombinant Rabbit Monoclonal
Isotype Rabbit IgG, kappa
Clone Name CD151/9297R
Purity Protein A/G affinity
UniProt P48509
Localization Cell membrane
Applications Immunohistochemistry (FFPE) : 1-2ug/ml
Limitations This recombinant CD151 antibody is available for research use only.
Review this product on BioCompare and get a $20 Amazon gift card

Related Products

Description

CD151 is involved in a wide variety of cell biological processes, including cell adhesion and the transport of integrins via vesicles. The human CD151 gene maps to chromosome 11p15.5 and encodes a 253 amino acid protein, which belongs to the tetraspan (4TM) superfamily. CD151 can associate with several integrin chains including beta1, beta3, beta4, alpha2, alpha3, alpha5 and alpha6 integrins. CD151 may provide a framework for the spatial organization of both type I and type II hemidesmosomes, which are specialized junctional complexes that function as cell attachment sites for binding to basement membranes. CD151 RNA transcript (1.6 kb) can be detected in MO7e cells, bone marrow stromal cells, C11 endothelial cells, HUVEC and several myeloid leukemia cell lines, however, no transcript is detected in brain and the lymphoblastoid cell lines MOLT-4 and BALM-1. Leu 149-Glu 213 of CD151 is the interface through which Integrin alpha3/beta1 can bind. CD151 can enhance cell motility, invasion and metastasis of cancer cells in a focal adhesion kinase dependent manner.

Application Notes

Optimal dilution of the recombinant CD151 antibody should be determined by the researcher.

Immunogen

Recombinant full-length human CD151 protein was used as the immunogen for the recombinant CD151 antibody.

Storage

Aliquot the recombinant CD151 antibody and store frozen at -20oC or colder. Avoid repeated freeze-thaw cycles.

Cross
Bulk Quote Request Form
Name*:
Organization*:
Email*:
Phone Number*:
Catalog No.*:
Comments and Specifics(amount, formulation, etc.)*:
Validation code: Captchapackage Image


Can't read the image? click here to refresh.
    *required field

Your bulk quote request has been submitted successfully!

Please contact us if you have any questions.