• Tel: 858.663.9055
  • SeparatorEmail: info@nsjbio.com
  • Tel: 858.663.9055
  • Email: info@nsjbio.com
Home >> Antibodies >> Recombinant CD123 Antibody / IL3RA

Recombinant CD123 Antibody / IL3RA [clone IL3RA/2947R] (V7426)

  Catalog No Formulation Size Price (USD)  
Image V7426-100UG 0.2 mg/ml in 1X PBS with 0.1 mg/ml BSA (US sourced) and 0.05% sodium azide 100 ug 539
Image
V7426-20UG 0.2 mg/ml in 1X PBS with 0.1 mg/ml BSA (US sourced) and 0.05% sodium azide 20 ug 249
Image
V7426SAF-100UG 1 mg/ml in 1X PBS; BSA free, sodium azide free 100 ug 539
Image
V7426IHC-7ML Prediluted in 1X PBS with 0.1 mg/ml BSA (US sourced) and 0.05% sodium azide; *For IHC use only* 7 ml 539
Microvalidated Recrabbitmono
Bulk quote request
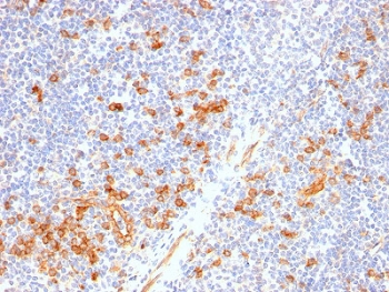
IHC staining of FFPE human tonsil with recombinant CD123 antibody (clone IL3RA/2947R). HIER: boil tissue sections in 10mM Tris with 1mM EDTA, pH 9 for 10-20 min and allow to cool.
SDS-PAGE analysis of purified, BSA-free recombinant CD123 antibody (clone IL3RA/2947R) as confirmation of integrity and purity.
Analysis of HuProt(TM) microarray containing more than 19,000 full-length human proteins using CD123 antibody (clone IL3RA/2947R). These results demonstrate the foremost specificity of the IL3RA/2947R mAb.
Z- and S- score: The Z-score represents the strength of a signal that an antibody (in combination with a fluorescently-tagged anti-IgG secondary Ab) produces when binding to a particular protein on the HuProt(TM) array. Z-scores are described in units of standard deviations (SD's) above the mean value of all signals generated on that array. If the targets on the HuProt(TM) are arranged in descending order of the Z-score, the S-score is the difference (also in units of SD's) between the Z-scores. The S-score therefore represents the relative target specificity of an Ab to its intended target.
Availability 1-3 business days
Species Reactivity Human
Format Purified
Clonality Recombinant Rabbit Monoclonal
Isotype Rabbit IgG, kappa
Clone Name IL3RA/2947R
Purity Protein A affinity chromatography
UniProt P26951
Localization Cell surface, Cytoplasmic
Applications ELISA (order BSA/sodium Azide-free Format For Coating) :
Immunohistochemistry (FFPE) : 0.25-0.5ug/ml for 30 min at RT
Limitations This recombinant CD123 antibody is available for research use only.
Review this product on BioCompare and get a $20 Amazon gift card

Related Products

Description

Recombinant CD123 antibody detects the interleukin-3 receptor alpha chain, encoded by the IL3RA gene. CD123 is a type I membrane glycoprotein that partners with the common beta subunit to form the complete IL-3 receptor complex. It is expressed on hematopoietic progenitors, plasmacytoid dendritic cells, and leukemic blasts, making it an important marker in immunology and oncology. Because of its roles in cell survival, differentiation, and leukemia progression, Recombinant CD123 antibody is widely used in research and translational studies.

CD123 signaling is initiated upon IL-3 binding, which activates JAK2 and downstream pathways such as STAT5, PI3K, and MAPK. These cascades drive proliferation, prevent apoptosis, and regulate lineage commitment. In normal physiology, this ensures balanced hematopoiesis, while in malignancy, dysregulated expression leads to excessive growth of myeloid precursors.

The Recombinant CD123 antibody clone IL3RA/2947R delivers reliable and specific detection of this receptor. Recombinant production ensures reproducibility, critical for longitudinal studies and clinical validation. Clone IL3RA/2947R has been documented in peer-reviewed research on acute myeloid leukemia, plasmacytoid dendritic cell biology, and targeted immunotherapy. Its consistency makes it valuable for flow cytometry, immunohistochemistry, and receptor quantification assays.

Research using clone IL3RA/2947R has clarified how CD123 overexpression identifies malignant blasts and provides a basis for targeted therapies, including antibody-drug conjugates and CAR T cells. In immunology, CD123 detection supports identification of plasmacytoid dendritic cells, key producers of type I interferons during viral infection. These diverse applications make CD123 detection critical in both health and disease contexts.

NSJ Bioreagents provides this Recombinant CD123 antibody to support research in leukemia, dendritic cell biology, and therapeutic development. Alternate names include IL3RA antibody, interleukin-3 receptor alpha chain antibody, IL-3 receptor subunit alpha antibody, plasmacytoid dendritic cell marker antibody, and hematopoietic growth factor receptor antibody.

Application Notes

Optimal dilution of the recombinant CD123 antibody should be determined by the researcher.

1. The prediluted format is supplied in a dropper bottle and is optimized for use in IHC. After epitope retrieval step (if required), drip mAb solution onto the tissue section and incubate at RT for 30 min.

Immunogen

A portion of amino acids 26-171 was used as the immunogen for the recombinant CD123 antibody.

Storage

Store the recombinant CD123 antibody at 2-8oC (with azide) or aliquot and store at -20oC or colder (without azide).

Cross
Bulk Quote Request Form
Name*:
Organization*:
Email*:
Phone Number*:
Catalog No.*:
Comments and Specifics(amount, formulation, etc.)*:
Validation code: Captchapackage Image


Can't read the image? click here to refresh.
    *required field

Your bulk quote request has been submitted successfully!

Please contact us if you have any questions.