• Tel: 858.663.9055
  • SeparatorEmail: info@nsjbio.com
  • Tel: 858.663.9055
  • Email: info@nsjbio.com
Home >> Antibodies >> Recombinant CD11b Antibody / MAC-1 / ITGAM / C-Terminal

Recombinant CD11b Antibody / MAC-1 / ITGAM / C-Terminal [clone RM290] (R20316)

  Catalog No Formulation Size Price (USD)  
Image R20316-0.1ML Antibody in PBS with 50% glycerol, 1% BSA and 0.09% sodium azide 100 ul 429
Microvalidated Recrabbitmono
Bulk quote request
Western blot testing of lysate from human HL60 cells, nontreated (-) or treated (+) with DMSO, with recombinant CD11b antibody at 1:400 dilution. Expected molecular weight: 127~170 kDa depending on glycosylation level.
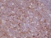
IHC testing of formalin fixed and paraffin embedded human tonsil tissue with recombinant CD11b antibody at 1:200 dilution. HIER: steam section in pH6 citrate buffer for 20 min and allow to cool prior to staining.
Availability 1-3 business days
Species Reactivity Human
Format Purified
Clonality Recombinant Rabbit Monoclonal
Isotype Rabbit IgG
Clone Name RM290
Purity Protein A purified from animal origin-free supernatant
UniProt P11215
Localization Cell membrane, cytoplasm
Applications Immunohistochemistry (FFPE) : 1:100-1:200
Western Blot : 1:200-1:500
Limitations This recombinant CD11b antibody is available for research use only.
Review this product on BioCompare and get a $20 Amazon gift card

Related Products

Description

This antibody reacts to human CD11b (MAC-1, Integrin alpha-M, ITGAM).

Application Notes

The stated application concentrations are suggested starting points. Titration of the recombinant CD11b antibody may be required due to differences in protocols and secondary/substrate sensitivity.

Immunogen

A peptide corresponding to the C-terminus of human CD11b (Integrin alpha-M) was used as the immunogen for the recombinant CD11b antibody.

Storage

Store the recombinant CD11b antibody at -20oC.

Cross
Bulk Quote Request Form
Name*:
Organization*:
Email*:
Phone Number*:
Catalog No.*:
Comments and Specifics(amount, formulation, etc.)*:
Validation code: Captchapackage Image


Can't read the image? click here to refresh.
    *required field

Your bulk quote request has been submitted successfully!

Please contact us if you have any questions.