• Tel: 858.663.9055
  • SeparatorEmail: info@nsjbio.com
  • Tel: 858.663.9055
  • Email: info@nsjbio.com
Home >> Antibodies >> Recombinant Caveolin-1 Antibody

Recombinant Caveolin-1 Antibody [clone RM325] (R20350)

  Catalog No Formulation Size Price (USD)  
Image R20350-0.1ML Antibody in PBS with 50% glycerol, 1% BSA and 0.09% sodium azide 100 ul 429
Microvalidated Recrabbitmono
Bulk quote request
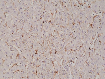
IHC staining of FFPE human liver tissue with recombinant Caveolin-1 antibody at 1:1000.
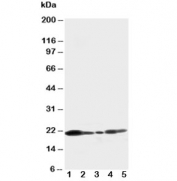
Western blot testing of human HeLa cell lysate with recombinant Caveolin-1 antibody at 1:40,000. Predicted molecular weight ~21 kDa.
Availability 1-3 business days
Species Reactivity Human
Format Purified
Clonality Recombinant Rabbit Monoclonal
Isotype Rabbit IgG
Clone Name RM325
Purity Protein A purified from animal origin-free supernatant
UniProt Q03135
Localization Cytoplasm, cell membrane
Applications Immunohistochemistry (FFPE) : 1:500-1:1000
Western Blot : 1:5000-1:40000
Limitations This recombinant Caveolin-1 antibody is available for research use only.
Review this product on BioCompare and get a $20 Amazon gift card

Related Products

  • Applications : WB, IHC-P, IF
    Reactivity : Human
  • Applications : WB, IHC-P, IHC-F, IF, FACS
    Reactivity : Human, Mouse, Rat
  • Applications : WB, IHC-P, IHC-F, ICC
    Reactivity : Human, Mouse, Rat

Description

This antibody reacts to human Caveolin-1.

Application Notes

The stated application concentrations are suggested starting points. Titration of the recombinant Caveolin-1 antibody may be required due to differences in protocols and secondary/substrate sensitivity.

Immunogen

A peptide corresponding to the C-terminus of human Caveolin-1 was used as the immunogen for the recombinant Caveolin-1 antibody.

Storage

Store the recombinant Caveolin-1 antibody at -20oC.

Cross
Bulk Quote Request Form
Name*:
Organization*:
Email*:
Phone Number*:
Catalog No.*:
Comments and Specifics(amount, formulation, etc.)*:
Validation code: Captchapackage Image


Can't read the image? click here to refresh.
    *required field

Your bulk quote request has been submitted successfully!

Please contact us if you have any questions.