• Tel: 858.663.9055
  • SeparatorEmail: info@nsjbio.com
  • Tel: 858.663.9055
  • Email: info@nsjbio.com
Home >> Antibodies >> Recombinant CA19-9 Antibody / Rabbit Monoclonal

Recombinant CA19-9 Antibody / Rabbit Monoclonal [clone CA19.9/1390R] (V7255)

  Catalog No Formulation Size Price (USD)  
Image V7255-100UG 0.2 mg/ml in 1X PBS with 0.1 mg/ml BSA (US sourced) and 0.05% sodium azide 100 ug 539
Image
V7255-20UG 0.2 mg/ml in 1X PBS with 0.1 mg/ml BSA (US sourced) and 0.05% sodium azide 20 ug 249
Image
V7255SAF-100UG 1 mg/ml in 1X PBS; BSA free, sodium azide free 100 ug 539
Image
V7255IHC-7ML Prediluted in 1X PBS with 0.1 mg/ml BSA (US sourced) and 0.05% sodium azide; *For IHC use only* 7 ml 539
Microvalidated Recrabbitmono
Bulk quote request
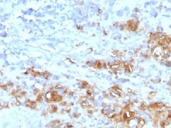
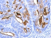
IHC testing of FFPE human gastric carcinoma with recombinant CA19-9 antibody (clone CA19.9/1390R). HIER: steam sections in pH6 citrate buffer for 10-20 min.
SDS-PAGE Analysis of Purified, BSA-Free Recombinant CA19-9 Antibody (clone CA19.9/1390R). Confirmation of Integrity and Purity of the Antibody.
Availability 1-3 business days
Species Reactivity Human
Format Purified
Clonality Recombinant Rabbit Monoclonal
Isotype Rabbit IgG, kappa
Clone Name CA19.9/1390R
Purity Protein A affinity
Localization Cytoplasmic
Applications Immunohistochemistry (FFPE) : 2-5ug/ml for 30 min at RT
Limitations This recombinant CA19-9 antibody is available for research use only.
Review this product on BioCompare and get a $20 Amazon gift card

Related Products

Description

CA19-9, a carbohydrate epitope expressed on a high MW (>400kDa) mucin glycoprotein, is a sialyl Lewisa structure which is synthesized from type 1 blood group precursor chains and is present in individuals expressing the Lewisa and/or Lewisb blood group antigens.

Application Notes

Optimal dilution of the recombinant CA19-9 antibody should be determined by the researcher.

1. The prediluted format is supplied in a dropper bottle and is optimized for use in IHC. After epitope retrieval step (if required), drip mAb solution onto the tissue section and incubate at RT for 30 min.

Immunogen

Purified human protein used as the immunogen for the recombinant CA19-9 antibody.

Storage

Store the recombinant CA19-9 antibody at 2-8oC (with azide) or aliquot and store at -20oC or colder (without azide).

Cross
Bulk Quote Request Form
Name*:
Organization*:
Email*:
Phone Number*:
Catalog No.*:
Comments and Specifics(amount, formulation, etc.)*:
Validation code: Captchapackage Image


Can't read the image? click here to refresh.
    *required field

Your bulk quote request has been submitted successfully!

Please contact us if you have any questions.