• Tel: 858.663.9055
  • SeparatorEmail: info@nsjbio.com
  • Tel: 858.663.9055
  • Email: info@nsjbio.com
Home >> Antibodies >> Recombinant BOB-1 Antibody / POU2AF1

Recombinant BOB-1 Antibody / POU2AF1 [clone RM378] (R20397)

  Catalog No Formulation Size Price (USD)  
Image R20397-0.1ML Antibody in PBS with 50% glycerol, 1% BSA and 0.09% sodium azide 100 ul 429
Microvalidated Recrabbitmono
Bulk quote request
Western blot testing of human Daudi cell lysate with recombinant BOB-1 antibody at 1:10,000 dilution. Predicted molecular weight: ~28 kDa (unmodified), 35-40 kDa (ubiquitinated).
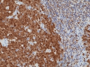
IHC staining of FFPE human tonsil tissue with recombinant BOB-1 antibody at 1:1250.
Availability 1-3 business days
Species Reactivity Human
Format Purified
Clonality Recombinant Rabbit Monoclonal
Isotype Rabbit IgG
Clone Name RM378
Purity Protein A purified from animal origin-free supernatant
UniProt Q16633
Localization Nuclear
Applications Immunohistochemistry (FFPE) : 1:1000-1:2000
Western Blot : 1:5000-1:10000
Limitations This recombinant BOB-1 antibody is available for research use only.
Review this product on BioCompare and get a $20 Amazon gift card

Related Products

Description

This antibody reacts to human BOB-1/OBF-1 (B-cell-specific coactivator) (POU domain class 2-associating factor 1).

Application Notes

The stated application concentrations are suggested starting points. Titration of the recombinant BOB-1 antibody may be required due to differences in protocols and secondary/substrate sensitivity.

Immunogen

A peptide corresponding to the C-terminus of human BOB-1/OBF-1 was used as the immunogen for the recombinant BOB-1 antibody.

Storage

Store the recombinant BOB-1 antibody at -20oC.

Cross
Bulk Quote Request Form
Name*:
Organization*:
Email*:
Phone Number*:
Catalog No.*:
Comments and Specifics(amount, formulation, etc.)*:
Validation code: Captchapackage Image


Can't read the image? click here to refresh.
    *required field

Your bulk quote request has been submitted successfully!

Please contact us if you have any questions.