• Tel: 858.663.9055
  • SeparatorEmail: info@nsjbio.com
  • Tel: 858.663.9055
  • Email: info@nsjbio.com
Home >> Antibodies >> Recombinant Biotin Antibody / Rabbit Monoclonal

Recombinant Biotin Antibody / Rabbit Monoclonal [clone BTN/2032R] (V3649)

  Catalog No Formulation Size Price (USD)  
Image V3649-100UG 0.2 mg/ml in 1X PBS with 0.1 mg/ml BSA (US sourced) and 0.05% sodium azide 100 ug 539
Image
V3649-20UG 0.2 mg/ml in 1X PBS with 0.1 mg/ml BSA (US sourced) and 0.05% sodium azide 20 ug 249
Image
V3649SAF-100UG 1 mg/ml in 1X PBS; BSA free, sodium azide free 100 ug 539
Image
V3649IHC-7ML Prediluted in 1X PBS with 0.1 mg/ml BSA (US sourced) and 0.05% sodium azide; *For IHC use only* 7 ml 539
Microvalidated Recrabbitmono
Bulk quote request
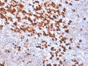
IHC: Formalin-fixed, paraffin-embedded human tonsil stained with biotinylated Kappa Light Chain Ab probe followed by anti-Biotin antibody (clone BTN/2032R). No special pretreatment is required for the immunohistochemical staining of formalin-fixed, paraffin-embedded tissues.
SDS-PAGE analysis of purified, BSA-free recombinant Biotin antibody (clone BTN/2032R) as confirmation of integrity and purity.
Availability 1-3 business days
Species Reactivity Biotin
Format Purified
Clonality Recombinant Rabbit Monoclonal
Isotype Rabbit IgG, kappa
Clone Name BTN/2032R
Purity Protein A affinity chromatography
Localization target location
Applications Immunohistochemistry (FFPE) : 1-2ug/ml for 30 min at RT
Limitations This recombinant Biotin antibody is available for research use only.
Review this product on BioCompare and get a $20 Amazon gift card

Related Products

Description

This mAb recognizes both the free and protein-conjugated (either soluble or cell bound) form of biotin. This mAb is highly specific to biotin and shows no cross-reaction with other structurally related compounds. It has a very high affinity for biotin and is excellent for use in various amplification techniques. In some applications, localization of biotinylated probes with avidin produces unacceptably high background staining. Anti-biotin antibody may be substituted to decrease this noise.

Application Notes

The optimal dilution of the recombinant Biotin antibody for each application should be determined by the researcher.

1. The prediluted format is supplied in a dropper bottle and is optimized for use in IHC. After epitope retrieval step (if required), drip mAb solution onto the tissue section and incubate at RT for 30 min.

Immunogen

Biotinylated sheep immunoglobulin was used as the immunogen for this recombinant Biotin antibody.

Storage

Store the recombinant Biotin antibody at 2-8oC (with azide) or aliquot and store at -20oC or colder (without azide).

Cross
Bulk Quote Request Form
Name*:
Organization*:
Email*:
Phone Number*:
Catalog No.*:
Comments and Specifics(amount, formulation, etc.)*:
Validation code: Captchapackage Image


Can't read the image? click here to refresh.
    *required field

Your bulk quote request has been submitted successfully!

Please contact us if you have any questions.