• Tel: 858.663.9055
  • SeparatorEmail: info@nsjbio.com
  • Tel: 858.663.9055
  • Email: info@nsjbio.com
Home >> Antibodies >> Recombinant ATRX Antibody / RAD54

Recombinant ATRX Antibody / RAD54 [clone ATRX/2900R] (V7325)

  Catalog No Formulation Size Price (USD)  
Image V7325-100UG 0.2 mg/ml in 1X PBS with 0.1 mg/ml BSA (US sourced) and 0.05% sodium azide 100 ug 539
Image
V7325-20UG 0.2 mg/ml in 1X PBS with 0.1 mg/ml BSA (US sourced) and 0.05% sodium azide 20 ug 249
Image
V7325SAF-100UG 1 mg/ml in 1X PBS; BSA free, sodium azide free 100 ug 539
Image
V7325IHC-7ML Prediluted in 1X PBS with 0.1 mg/ml BSA (US sourced) and 0.05% sodium azide; *For IHC use only* 7 ml 539
Microvalidated Recrabbitmono
Bulk quote request
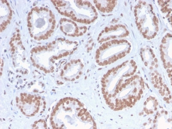
IHC staining of FFPE human prostate carcinoma with recombinant ATRX antibody. HIER: boil tissue sections in 10mM Tris with 1mM EDTA buffer, pH 9, for 10-20 min followed by cooling at RT for 20 min.
SDS-PAGE analysis of purified, BSA-free recombinant ATRX antibody (clone ATRX/2900R) as confirmation of integrity and purity.
Species Reactivity Human
Format Purified
Clonality Recombinant Rabbit Monoclonal
Isotype Rabbit IgG, kappa
Clone Name ATRX/2900R
Purity Protein A affinity chromatography
UniProt P46100
Localization Nuclear
Applications Immunohistochemistry (FFPE) : 1-2ug/ml for 30 min at RT
Limitations This recombinant ATRX antibody is available for research use only.
Review this product on BioCompare and get a $20 Amazon gift card

Related Products

Description

ATRX is a member of the Snf2 family of helicase/ATPases, which contribute to the remodeling of the nucelosome structure in an ATP-dependent manner, and facilitate the initiation of transcription and replication. Structurally, it contains a PHD zinc finger motif. ATRX is regulated throughout the cell cycle where it is differentially distributed within the nucleus. During interphase, it predominately associates with the nuclear matrix, while during mitosis, ATRX localizes with condensed chromatin. At the onset of M phase, phosphorylation rapidly induces this redistribution of ATRX to the short arms of human acrocentric chromosomes, where it then specifically complexes with heterochromatin protein 1 α to mediate chromosomal segregation. Mutations in the gene correlate with a high incidence of severe X-linked form of syndromal mental retardation associated with alpha-thalassemia or ATRX syndrome.

Application Notes

The concentration stated for each application is a general starting point. Variations in protocols, secondaries and substrates may require the recombinant ATRX antibody to be titered up or down for optimal performance.
1. The prediluted format is supplied in a dropper bottle and is optimized for use in IHC. After epitope retrieval step (if required), drip mAb solution onto the tissue section and incubate at RT for 30 min.

Immunogen

Recombinant human ATRX protein was used as the immunogen for this recombinant ATRX antibody.

Storage

Store the recombinant ATRX antibody at 2-8oC (with azide) or aliquot and store at -20oC or colder (without azide).

Cross
Bulk Quote Request Form
Name*:
Organization*:
Email*:
Phone Number*:
Catalog No.*:
Comments and Specifics(amount, formulation, etc.)*:
Validation code: Captchapackage Image


Can't read the image? click here to refresh.
    *required field

Your bulk quote request has been submitted successfully!

Please contact us if you have any questions.