- Tel: 858.663.9055
- 
									 Email: info@nsjbio.com Email: info@nsjbio.com
- Tel: 858.663.9055
- Email: info@nsjbio.com
 Email: info@nsjbio.com
Email: info@nsjbio.com
								Related Products
| 
 | 
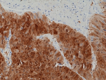
This antibody reacts to human Arginase-1 (ARG1).
The stated application concentrations are suggested starting points. Titration of the recombinant Arginase 1 antibody may be required due to differences in protocols and secondary/substrate sensitivity.
A peptide corresponding to the C-terminus of human Arginase-1 (ARG1) was used as the immunogen for the recombinant Arginase 1 antibody.
Store the recombinant Arginase-1 antibody at -20oC.
 
Your bulk quote request has been submitted successfully!
Please contact us if you have any questions.