• Tel: 858.663.9055
  • SeparatorEmail: info@nsjbio.com
  • Tel: 858.663.9055
  • Email: info@nsjbio.com
Home >> Antibodies >> Recombinant AR-V7 Antibody / Androgen Receptor

Recombinant AR-V7 Antibody / Androgen Receptor [clone DHTR/9119R] (V5458)

  Catalog No Formulation Size Price (USD)  
Image V5458-100UG 0.2 mg/ml in 1X PBS with 0.1 mg/ml BSA (US sourced), 0.05% sodium azide 100 ug 539
Image
V5458-20UG 0.2 mg/ml in 1X PBS with 0.1 mg/ml BSA (US sourced), 0.05% sodium azide 20 ug 249
Image
V5458SAF-100UG 1 mg/ml in 1X PBS; BSA free, sodium azide free 100 ug 539
Microvalidated Recrabbitmono
Bulk quote request
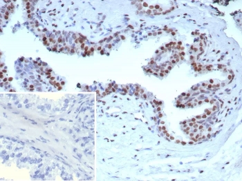
IHC staining of FFPE human prostate carcinoma tissue with recombinant AR-V7 antibody (clone DHTR/9119R). Inset: PBS used in place of primary Ab (secondary Ab negative control). HIER: boil tissue sections in pH 9 10mM Tris with 1mM EDTA for 20 min and allow to cool before testing.
SDS-PAGE analysis of purified, BSA-free recombinant AR-V7 antibody (clone DHTR/9119R) as confirmation of integrity and purity.
Availability 1-3 business days
Species Reactivity Human
Format Purified
Clonality Recombinant Rabbit Monoclonal
Isotype Rabbit IgG, kappa
Clone Name DHTR/9119R
Purity Protein A/G affinity
UniProt P10275
Localization Nucleus
Applications Immunohistochemistry (FFPE) : 1-2ug/ml
Limitations This recombinant AR-V7 antibody is available for research use only.
Review this product on BioCompare and get a $20 Amazon gift card

Related Products

Description

Androgen Receptor is a member of the superfamily of ligand responsive transcription regulators. The androgen receptor functions in the nucleus where it is believed to act as a transcriptional regulator mediating the action of male sex hormones. The androgen receptor has wide distribution and can be demonstrated by immunohistochemistry in several tissues including prostate, skin, and oral mucosa. Androgen receptor has been reported in a diverse range of human tumors including osteosarcoma, and in prostatic carcinoma androgen receptor expression may be of clinical relevance.

Application Notes

Optimal dilution of the recombinant AR-V7 antibody should be determined by the researcher.

Immunogen

A recombinant fragment (within amino acids 1-200) of human Androgen Receptor protein was used as the immunogen for the recombinant AR-V7 antibody.

Storage

Aliquot the recombinant AR-V7 antibody and store frozen at -20oC or colder. Avoid repeated freeze-thaw cycles.

Cross
Bulk Quote Request Form
Name*:
Organization*:
Email*:
Phone Number*:
Catalog No.*:
Comments and Specifics(amount, formulation, etc.)*:
Validation code: Captchapackage Image


Can't read the image? click here to refresh.
    *required field

Your bulk quote request has been submitted successfully!

Please contact us if you have any questions.