• Tel: 858.663.9055
  • SeparatorEmail: info@nsjbio.com
  • Tel: 858.663.9055
  • Email: info@nsjbio.com
Home >> Antibodies >> Recombinant ANO1 Antibody / DOG1 / TMEM16A

Recombinant ANO1 Antibody / DOG1 / TMEM16A [clone rDG1/447] (V3567)

  Catalog No Formulation Size Price (USD)  
Image V3567-100UG 0.2 mg/ml in 1X PBS with 0.1 mg/ml BSA (US sourced) and 0.05% sodium azide 100 ug 539
Image
V3567-20UG 0.2 mg/ml in 1X PBS with 0.1 mg/ml BSA (US sourced) and 0.05% sodium azide 20 ug 249
Image
V3567SAF-100UG 1 mg/ml in 1X PBS; BSA free, sodium azide free 100 ug 539
Image
V3567IHC-7ML Prediluted in 1X PBS with 0.1 mg/ml BSA (US sourced) and 0.05% sodium azide; *For IHC use only* 7 ml 539
Microvalidated Recmousemono
Bulk quote request
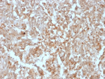
IHC testing of FFPE human gastrointestinal stromal tumor (GIST) with ANO1 antibody (clone rDG1/447). Required HIER: boil tissue sections in pH 9 10mM Tris with 1mM EDTA for 10-20 min followed by cooling at RT for 20 min.
SDS-PAGE analysis of purified, BSA-free recombinant ANO1 antibody (clone rDG1/447) as confirmation of integrity and purity.
Species Reactivity Human
Format Purified
Clonality Recombinant Mouse Monoclonal
Isotype Mouse IgG1, kappa
Clone Name rDG1/447
Purity Protein G affinity chromatography
UniProt Q5XXA6
Gene ID 55107
Localization Cell Surface and Cytoplasmic
Applications Immunohistochemistry (FFPE) : 1-2ug/ml for 30 min at RT
Limitations This recombinant ANO1 antibody is available for research use only.
Review this product on BioCompare and get a $20 Amazon gift card

Related Products

Description

Expression of DOG1/ANO1 protein is elevated in the gastrointestinal stromal tumors (GIST's), c-kit signaling-driven mesenchymal tumors of the GI tract. It is rarely expressed in other soft tissue tumors, which, due to appearance, may be difficult to diagnose. Immunoreactivity for ANO1 has been reported in 97.8 percent of scorable GIST's, including all c-kit negative GIST's. Overexpression has been suggested to aid in the identification of GISTs, including Platelet-Derived Growth Factor Receptor Alpha mutants that fail to express c-kit antigen. The overall sensitivity of ANO1 and c-kit in GIST's is nearly identical: 94.4% vs. 94.7%.

Application Notes

The concentration stated for each application is a general starting point. Variations in protocols, secondaries and substrates may require the recombinant ANO1 antibody to be titered up or down for optimal performance.

1. The prediluted format is supplied in a dropper bottle and is optimized for use in IHC. After epitope retrieval step (if required), drip mAb solution onto the tissue section and incubate at RT for 30 min.

Immunogen

A recombinant human full length protein was used as the immunogen for this recombinant ANO1 antibody.

Storage

Store the recombinant ANO1 antibody at 2-8oC (with azide) or aliquot and store at -20oC or colder (without azide).

Cross
Bulk Quote Request Form
Name*:
Organization*:
Email*:
Phone Number*:
Catalog No.*:
Comments and Specifics(amount, formulation, etc.)*:
Validation code: Captchapackage Image


Can't read the image? click here to refresh.
    *required field

Your bulk quote request has been submitted successfully!

Please contact us if you have any questions.