• Tel: 858.663.9055
  • SeparatorEmail: info@nsjbio.com
  • Tel: 858.663.9055
  • Email: info@nsjbio.com
Home >> Antibodies >> Recombinant Androgen Receptor V7 Antibody / AR-V7

Recombinant Androgen Receptor V7 Antibody / AR-V7 [clone DHTR.V7/9125R] (V5456)

  Catalog No Formulation Size Price (USD)  
Image V5456-100UG 0.2 mg/ml in 1X PBS with 0.1 mg/ml BSA (US sourced), 0.05% sodium azide 100 ug 539
Image
V5456-20UG 0.2 mg/ml in 1X PBS with 0.1 mg/ml BSA (US sourced), 0.05% sodium azide 20 ug 249
Image
V5456SAF-100UG 1 mg/ml in 1X PBS; BSA free, sodium azide free 100 ug 539
Microvalidated Recrabbitmono
Bulk quote request
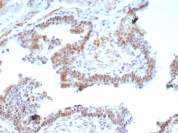
IHC staining of FFPE human prostate carcinoma tissue with recombinant Androgen Receptor V7 antibody (clone DHTR.V7/9125R). HIER: boil tissue sections in pH 9 10mM Tris with 1mM EDTA for 20 min and allow to cool before testing.
Availability 1-3 business days
Species Reactivity Human
Format Purified
Clonality Recombinant Rabbit Monoclonal
Isotype Rabbit IgG, kappa
Clone Name DHTR.V7/9125R
Purity Protein A/G affinity
UniProt P10275
Localization Nucleus
Applications Immunohistochemistry (FFPE) : 1-2ug/ml
Limitations This recombinant Androgen Receptor V7 antibody is available for research use only.
Review this product on BioCompare and get a $20 Amazon gift card

Related Products

Description

AR V7 belongs to the nuclear hormone receptor family. It contains the nuclear receptor DNA binding domain. Steroid hormone receptors are ligand-activated transcription factors that regulate the expression of eukaryotic genes affecting cell proliferation and differentiation in target tissues. The activity of transcription factors is regulated by binding co-activators and co-repressors. This target is a splice variant of the androgen receptor that lacks the C-terminal androgen-binding site. AR-V7 plays an important role in the occurrence, development and drug resistance of prostate cancer.

Application Notes

Optimal dilution of the recombinant Androgen Receptor V7 antibody should be determined by the researcher.

Immunogen

A recombinant fragment (within amino acids 600-920) of human AR protein (AR-V7 specific) was used as the immunogen for the recombinant Androgen Receptor V7 antibody.

Storage

Aliquot the recombinant Androgen Receptor V7 antibody and store frozen at -20oC or colder. Avoid repeated freeze-thaw cycles.

Cross
Bulk Quote Request Form
Name*:
Organization*:
Email*:
Phone Number*:
Catalog No.*:
Comments and Specifics(amount, formulation, etc.)*:
Validation code: Captchapackage Image


Can't read the image? click here to refresh.
    *required field

Your bulk quote request has been submitted successfully!

Please contact us if you have any questions.