• Tel: 858.663.9055
  • SeparatorEmail: info@nsjbio.com
  • Tel: 858.663.9055
  • Email: info@nsjbio.com
Home >> Antibodies >> Recombinant Amyloid beta Antibody / APP

Recombinant Amyloid beta Antibody / APP [clone APP/9971R] (V5746)

  Catalog No Formulation Size Price (USD)  
Image V5746-100UG 0.2 mg/ml in 1X PBS with 0.1 mg/ml BSA (US sourced), 0.05% sodium azide 100 ug 539
Image
V5746-20UG 0.2 mg/ml in 1X PBS with 0.1 mg/ml BSA (US sourced), 0.05% sodium azide 20 ug 249
Image
V5746SAF-100UG 1 mg/ml in 1X PBS; BSA free, sodium azide free 100 ug 539
Microvalidated Recrabbitmono
Bulk quote request
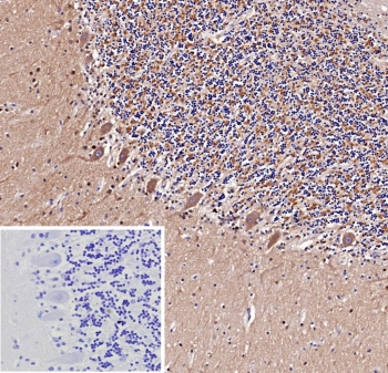
IHC staining of FFPE human brain tissue with recombinant Amyloid beta antibody (clone APP/9971R). Inset: PBS used in place of primary Ab (secondary Ab negative control). HIER: boil tissue sections in pH 9 10mM Tris with 1mM EDTA for 20 min and allow to cool before testing.
SDS-PAGE analysis of purified, BSA-free recombinant Amyloid beta antibody (clone APP/9971R) as confirmation of integrity and purity.
Availability 1-3 business days
Species Reactivity Human
Format Purified
Clonality Recombinant Rabbit Monoclonal
Isotype Rabbit IgG, kappa
Clone Name APP/9971R
Purity Protein A affinity
UniProt P05067
Localization Membrane, cytoplasm
Applications Immunohistochemistry (FFPE) : 1-2ug/ml
Limitations This recombinant Amyloid beta antibody is available for research use only.
Review this product on BioCompare and get a $20 Amazon gift card

Related Products

Description

Proteolytic cleavage of the Amyloid protein precursor (APP) gives rise to the beta-Amyloid and Amyloid A4 proteins, which are present in human platelets. Amyloid deposition is associated with type II diabetes, Down syndrome and a variety of neurological disorders, including Alzheimer s disease. The Amyloid precursor protein (APP) undergoes alternative splicing, resulting in several isoforms. Proteolytic cleavage of APP leads to the formation of the 4 kDa Amyloid beta/A4 Amyloid protein. This protein is involved in the formation of neurofibrillary tangles and plaques that characterize the senile plaques of Alzheimer s patients. APLP1 (Amyloid precursor-like protein 1) and APLP2 are structurally similar to APP. Human APLP2 is a membrane-bound sperm protein that contains a region highly homologous to the transmembrane-cytoplasmic domains of APP found in brain plaques of Alzheimer s disease patients.

Application Notes

Optimal dilution of the recombinant Amyloid beta antibody should be determined by the researcher.

Immunogen

A portion of amino acids 500-700 from human APP protein was used as the immunogen for the recombinant Amyloid beta antibody.

Storage

Aliquot the recombinant Amyloid beta antibody and store frozen at -20oC or colder. Avoid repeated freeze-thaw cycles.

Cross
Bulk Quote Request Form
Name*:
Organization*:
Email*:
Phone Number*:
Catalog No.*:
Comments and Specifics(amount, formulation, etc.)*:
Validation code: Captchapackage Image


Can't read the image? click here to refresh.
    *required field

Your bulk quote request has been submitted successfully!

Please contact us if you have any questions.