• Tel: 858.663.9055
  • SeparatorEmail: info@nsjbio.com
  • Tel: 858.663.9055
  • Email: info@nsjbio.com
Home >> Antibodies >> Recombinant Alpha 1 Antitrypsin Antibody / AAT / SERPINA1

Recombinant Alpha 1 Antitrypsin Antibody / AAT / SERPINA1 [clone AAT/3167R] (V8013)

  Catalog No Formulation Size Price (USD)  
Image V8013-100UG 0.2 mg/ml in 1X PBS with 0.1 mg/ml BSA (US sourced) and 0.05% sodium azide 100 ug 539
Image
V8013-20UG 0.2 mg/ml in 1X PBS with 0.1 mg/ml BSA (US sourced) and 0.05% sodium azide 20 ug 249
Image
V8013SAF-100UG 1 mg/ml in 1X PBS; BSA free, sodium azide free 100 ug 539
Microvalidated Recrabbitmono
Bulk quote request
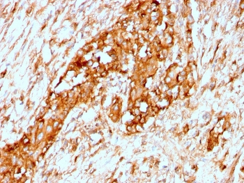
IHC staining of FFPE human breast with recombinant Alpha 1 Antitrypsin antibody (clone AAT/3167R). HIER: boil tissue sections in pH 9 10mM Tris with 1mM EDTA for 20 min and allow to cool before testing.
Western blot testing of human samples with recombinant Alpha 1 Antitrypsin antibody (clone AAT/3167R). Expected molecular weight: ~47 kDa (unmodified), 52 kDa (glycosylated).
SDS-PAGE analysis of purified, BSA-free recombinant Alpha 1 Antitrypsin antibody (clone AAT/3167R) as confirmation of integrity and purity.
Western blot testing of human lung tissue lysate with recombinant Alpha 1 Antitrypsin antibody. Expected molecular weight: 47-52 kDa depending on the level of glycosylation.
Availability 1-3 business days
Species Reactivity Human
Format Purified
Clonality Recombinant Rabbit Monoclonal
Isotype Rabbit IgG
Clone Name AAT/3167R
Purity Protein A affinity chromatography
UniProt P01009
Localization Cytoplasmic
Applications Immunohistochemistry (FFPE) : 1-2ug/ml
Western Blot : 1-2ug/ml
Limitations This recombinant Alpha 1 Antitrypsin antibody is available for research use only.
Review this product on BioCompare and get a $20 Amazon gift card

Related Products

Description

The immunohistochemical staining of AAT is useful in identification of benign and malignant hepatic tumors and yolk sac carcinomas. Positive staining for AAT is also used in detection of benign and malignant lesions of histiocytic nature. This antibody is may also useful tool in the screening of patients with cryptogenic cirrhosis or other forms of liver disease with fibrosis of uncertain origin.

Application Notes

Optimal dilution of the recombinant Alpha 1 Antitrypsin antibody should be determined by the researcher.

Immunogen

A recombinant human Alpha-1-Antitrypsin (AAT) partial protein was used as the immunogen for this recombinant Alpha 1 Antitrypsin antibody.

Storage

Store the recombinant Alpha 1 Antitrypsin antibody at 2-8oC (with azide) or aliquot and store at -20oC or colder (without azide).

Cross
Bulk Quote Request Form
Name*:
Organization*:
Email*:
Phone Number*:
Catalog No.*:
Comments and Specifics(amount, formulation, etc.)*:
Validation code: Captchapackage Image


Can't read the image? click here to refresh.
    *required field

Your bulk quote request has been submitted successfully!

Please contact us if you have any questions.