• Tel: 858.663.9055
  • SeparatorEmail: info@nsjbio.com
  • Tel: 858.663.9055
  • Email: info@nsjbio.com
Home >> Antibodies >> Recombinant ALK Antibody / Anaplastic Lymphoma Kinase

Recombinant ALK Antibody / Anaplastic Lymphoma Kinase [clone ALK1/2766R] (V7410)

  Catalog No Formulation Size Price (USD)  
Image V7410-100UG 0.2 mg/ml in 1X PBS with 0.1 mg/ml BSA (US sourced) and 0.05% sodium azide 100 ug 539
Image
V7410-20UG 0.2 mg/ml in 1X PBS with 0.1 mg/ml BSA (US sourced) and 0.05% sodium azide 20 ug 249
Image
V7410SAF-100UG 1 mg/ml in 1X PBS; BSA free, sodium azide free 100 ug 539
Image
V7410IHC-7ML Prediluted in 1X PBS with 0.1 mg/ml BSA (US sourced) and 0.05% sodium azide; *For IHC use only* 7 ml 539
Microvalidated Recrabbitmono
Bulk quote request
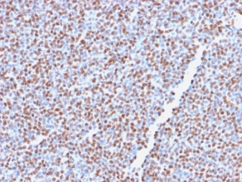
IHC testing of FFPE anaplastic large-cell lymphoma with recombinant ALK antibody (clone ALK1/2766R). HIER: boil tissue sections in 10mM Tris buffer with 1mM EDTA, pH 9, for 10-20 min followed by cooling at RT for 20 min.
SDS-PAGE analysis of purified, BSA-free recombinant ALK antibody (clone ALK1/2766R) as confirmation of integrity and purity.
Availability 1-3 business days
Species Reactivity Human
Format Purified
Clonality Recombinant Rabbit Monoclonal
Isotype Rabbit IgG, kappa
Clone Name ALK1/2766R
Purity Protein A affinity
UniProt Q9UM73
Localization Cytoplasmic, nuclear
Applications Immunohistochemistry (FFPE) : 0.5-1ug/ml for 30 min at RT
Limitations This recombinant ALK antibody is available for research use only.
Review this product on BioCompare and get a $20 Amazon gift card

Related Products

Description

The wild-type anaplastic lymphoma kinase (ALK) protein is a 200kDa transmembrane receptor tyrosine kinase. Its expression is restricted to a few scattered cells in the nervous system (some glial cells and neurons, and a few endothelial cells and pericytes. The hybrid gene, NPM-ALK, created by the t(2;5)(p23;q35) chromosomal translocation encodes part of the nucleolar phosphoprotein, nucleophosmin (NPM), joined to the entire cytoplasmic portion of the anaplastic lymphoma kinase (ALK) receptor tyrosine kinase. As a consequence, the ALK gene comes under the control of the NPM promoter, which induces a permanent and ubiquitous transcription of the NPM-ALK hybrid gene, resulting in the production of a 80kDa NPM-ALK chimeric protein. This translocation is found in anaplastic large cell lymphomas (ALCL). Reportedly, expression of ALK indicates a better prognosis. Approximately 5%-10% of non-small cell lung carcinomas also express ALK protein producing a cytoplasmic staining pattern. This MAb also reacts with blood vessels that serves as an internal positive control.

Application Notes

The stated application concentrations are suggested starting amounts. Titration of the recombinant ALK antibody may be required due to differences in protocols and secondary/substrate sensitivity.

Immunogen

Recombinant full length human protein was used as the immunogen for this recombinant ALK antibody.

Storage

Store the recombinant recombinant ALK antibody at 2-8oC (with azide) or aliquot and store at -20oC or colder (without azide).

Cross
Bulk Quote Request Form
Name*:
Organization*:
Email*:
Phone Number*:
Catalog No.*:
Comments and Specifics(amount, formulation, etc.)*:
Validation code: Captchapackage Image


Can't read the image? click here to refresh.
    *required field

Your bulk quote request has been submitted successfully!

Please contact us if you have any questions.