• Tel: 858.663.9055
  • SeparatorEmail: info@nsjbio.com
  • Tel: 858.663.9055
  • Email: info@nsjbio.com
Home >> Antibodies >> Recombinant Aldose reductase Antibody / AKR1B1

Recombinant Aldose reductase Antibody / AKR1B1 [clone AKR1B1/7010R] (V9399)

  Catalog No Formulation Size Price (USD)  
Image V9399-100UG 0.2 mg/ml in 1X PBS with 0.1 mg/ml BSA (US sourced), 0.05% sodium azide 100 ug 539
Image
V9399-20UG 0.2 mg/ml in 1X PBS with 0.1 mg/ml BSA (US sourced), 0.05% sodium azide 20 ug 249
Image
V9399SAF-100UG 1 mg/ml in 1X PBS; BSA free, sodium azide free 100 ug 539
Microvalidated Recrabbitmono
Bulk quote request
IHC staining of FFPE human brain tissue with recombinant Aldose reductase antibody (clone AKR1B1/7010R) at 2ug/ml in PBS for 30 min RT. Negative control inset: PBS used instead of primary antibody to control for secondary Ab binding. HIER: boil tissue sections in pH 9 10mM Tris with 1mM EDTA for 20 min and allow to cool before testing.
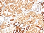
IHC staining of FFPE human kidney tissue with recombinant Aldose reductase antibody (clone AKR1B1/7009R). HIER: boil tissue sections in pH 9 10mM Tris with 1mM EDTA for 20 min and allow to cool before testing.
SDS-PAGE analysis of purified, BSA-free recombinant Aldose reductase antibody (AKR1B1/7010R) as confirmation of integrity and purity.
Western blot testing of human 293T cell lysate with recombinant Aldose reductase antibody (clone AKR1B1/7010R). Predicted molecular weight ~36 kDa.
Availability 1-3 business days
Species Reactivity Human
Format Purified
Clonality Recombinant Rabbit Monoclonal
Isotype Rabbit IgG, kappa
Clone Name AKR1B1/7010R
Purity Protein A/G affinity
UniProt P15121
Localization Cytoplasm
Applications Western Blot : 2-4ug/ml
Immunohistochemistry (FFPE) : 2-4ug/ml
Limitations This recombinant Aldose reductase antibody is available for research use only.
Review this product on BioCompare and get a $20 Amazon gift card

Related Products

Description

AKR1B1, also designated as aldose reductase, is a member of the aldo/keto reductase superfamily, which consists of more than 40 known enzymes and proteins. This protein catalyzes the reduction of a number of aldehydes, including the aldehyde form of glucose, and is thereby implicated in the development of diabetic complications by catalyzing the reduction of glucose to sorbitol.

Application Notes

Optimal dilution of the recombinant Aldose reductase antibody should be determined by the researcher.

Immunogen

Recombinant human full-length AKR1B1 protein was used as the immunogen for the recombinant Aldose reductase antibody.

Storage

Aliquot the recombinant Aldose reductase antibody and store frozen at -20oC or colder. Avoid repeated freeze-thaw cycles.

Cross
Bulk Quote Request Form
Name*:
Organization*:
Email*:
Phone Number*:
Catalog No.*:
Comments and Specifics(amount, formulation, etc.)*:
Validation code: Captchapackage Image


Can't read the image? click here to refresh.
    *required field

Your bulk quote request has been submitted successfully!

Please contact us if you have any questions.