- Tel: 858.663.9055
-
Email: info@nsjbio.com
- Tel: 858.663.9055
- Email: info@nsjbio.com
Related Products
|
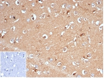
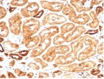
AKR1B1, also designated as aldose reductase, is a member of the aldo/keto reductase superfamily, which consists of more than 40 known enzymes and proteins. This protein catalyzes the reduction of a number of aldehydes, including the aldehyde form of glucose, and is thereby implicated in the development of diabetic complications by catalyzing the reduction of glucose to sorbitol. It has also been shown to have decreased expression in adrenocortical cancer, and possibly play a role in adrenal tumorigenesis. It has been suggested that AKR1B1 could be investigated as a marker of malignancy for adrenal tumor diagnosis.
Optimal dilution of the recombinant AKR1B1 antibody should be determined by the researcher.
Recombinant human full-length AKR1B1 protein was used as the immunogen for the recombinant AKR1B1 antibody.
Aliquot the recombinant AKR1B1 antibody and store frozen at -20oC or colder. Avoid repeated freeze-thaw cycles.
Your bulk quote request has been submitted successfully!
Please contact us if you have any questions.