• Tel: 858.663.9055
  • SeparatorEmail: info@nsjbio.com
  • Tel: 858.663.9055
  • Email: info@nsjbio.com
Home >> Antibodies >> Recombinant ACTC1 Antibody / Cardiac Muscle Actin

Recombinant ACTC1 Antibody / Cardiac Muscle Actin [clone RM257] (R20278)

  Catalog No Formulation Size Price (USD)  
Image R20278-0.1ML Antibody in PBS with 50% glycerol, 1% BSA and 0.09% sodium azide 100 ul 429
Microvalidated Recrabbitmono
Bulk quote request
Western blot testing of mouse heart lysate with recombinant ACTC1 antibody at 1:1000. Predicted molecular weight ~42 kDa.
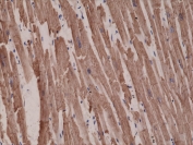
IHC testing of FFPE human heart tissue with recombinant ACTC1 antibody at 1:1000.
Availability 1-3 business days
Species Reactivity Human, Mouse
Predicted Reactivity Bovine, Rat
Format Purified
Clonality Recombinant Rabbit Monoclonal
Isotype Rabbit IgG
Clone Name RM257
Purity Protein A purified from animal origin-free supernatant
UniProt P68032
Gene ID 70
Applications Immunohistochemistry (FFPE) : 1:1000-1:2000 (1)
Western Blot : 1:1000-1:2000
Limitations This recombinant ACTC1 antibody is available for research use only.
Review this product on BioCompare and get a $20 Amazon gift card

Related Products

Description

The Recombinant ACTC1 antibody is a recombinant reagent engineered to detect cardiac muscle actin (ACTC1), a highly conserved actin isoform that forms the backbone of the contractile apparatus in cardiac myocytes. Actins are among the most abundant cytoskeletal proteins in eukaryotic cells, and ACTC1 is specifically enriched in cardiac tissue, where it contributes to sarcomere structure and force generation. By polymerizing into thin filaments, cardiac actin interacts with myosin and regulatory proteins such as tropomyosin and troponin, enabling the precise regulation of muscle contraction. The Recombinant ACTC1 antibody provides specific and reproducible detection of this cardiac-specific isoform across a wide range of experimental applications.

The ACTC1 gene encodes alpha cardiac actin, which is expressed predominantly in the heart and to a lesser extent during skeletal muscle development. Structurally, cardiac actin is nearly identical to other actin isoforms but contains subtle amino acid differences that support its specialized function in the myocardium. Mutations in ACTC1 have been linked to inherited cardiomyopathies, including dilated and hypertrophic cardiomyopathy, where disruption of actin-myosin interactions impairs contractility. The Recombinant ACTC1 antibody enables detection of this isoform in both physiological and pathological settings, providing insights into cardiac biology and disease.

In immunohistochemistry, the Recombinant ACTC1 antibody highlights sarcomeric actin filaments in cardiac muscle tissue, producing a striated staining pattern characteristic of organized sarcomeres. In immunofluorescence, it visualizes cytoskeletal architecture in cardiomyocytes, allowing detailed study of contractile assembly and remodeling. In western blotting, the antibody detects ACTC1 protein in heart tissue extracts, providing a quantitative measure of expression levels. Recombinant production ensures consistent specificity and eliminates variability often associated with polyclonal antibodies.

The Recombinant ACTC1 antibody is especially valuable in cardiovascular research, where it serves as a marker of cardiomyocyte identity and differentiation. It is widely applied in stem cell studies to confirm the differentiation of pluripotent stem cells into cardiac lineages. In translational research, detection of ACTC1 supports investigations into the molecular mechanisms of cardiomyopathies and facilitates evaluation of therapeutic strategies aimed at restoring contractile function. Synonym phrases such as recombinant cardiac actin antibody, recombinant alpha cardiac actin antibody, and recombinant cardiac muscle actin antibody expand product accessibility for researchers using alternate nomenclature.

By delivering validated and reproducible detection, the Recombinant ACTC1 antibody provides a dependable tool for exploring cardiac biology, muscle development, and cardiovascular disease. NSJ Bioreagents ensures strict quality control for this reagent, giving scientists confidence in applications such as immunohistochemistry, immunofluorescence, and western blotting. With specificity for cardiac muscle actin, the Recombinant ACTC1 antibody is an indispensable resource for both basic and translational heart research.

Application Notes

The stated application concentrations are suggested starting points. Titration of the recombinant ACTC1 antibody may be required due to differences in protocols and secondary/substrate sensitivity.

1. A pH6 Citrate buffer or pH9 Tris/EDTA buffer HIER step is recommended for testing of FFPE tissue sections.

Immunogen

A peptide corresponding to the N-terminus of human alpha-cardiac Actin was used as the immunogen for this recombinant ACTC1 antibody.

Storage

Store the recombinant ACTC1 antibody at -20oC (with glycerol) or aliquot and store at -20oC (without glycerol).

Cross
Bulk Quote Request Form
Name*:
Organization*:
Email*:
Phone Number*:
Catalog No.*:
Comments and Specifics(amount, formulation, etc.)*:
Validation code: Captchapackage Image


Can't read the image? click here to refresh.
    *required field

Your bulk quote request has been submitted successfully!

Please contact us if you have any questions.