• Tel: 858.663.9055
  • SeparatorEmail: info@nsjbio.com
  • Tel: 858.663.9055
  • Email: info@nsjbio.com
Home >> Antibodies >> RBX1 Antibody

RBX1 Antibody (F54242)

  Catalog No Formulation Size Price (USD)  
Image F54242-0.4ML In 1X PBS, pH 7.4, with 0.09% sodium azide 0.4 ml 429
Image
F54242-0.08ML In 1X PBS, pH 7.4, with 0.09% sodium azide 0.08 ml 199
Bulk quote request
Western blot testing of human 1) HepG2, 2) 293, 3) HeLa, 4) HT-1080, 5) Jurkat, 6) mouse heart and 7) mouse liver lysate with RBX1 antibody. Expected molecular weight: 12-15 kDa.
Western blot testing of human 1) 293, 2) HeLa, 3) HT-1080, 4) Jurkat and 5) mouse NIH3T3 cell lysate with RBX1 antibody. Expected molecular weight: 12-15 kDa.
IHC testing of FFPE human colon tissue with RBX1 antibody. HIER: steam section in pH6 citrate buffer for 20 min and allow to cool prior to staining.
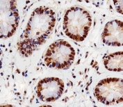
IHC testing of FFPE mouse testis tissue with RBX1 antibody. HIER: steam section in pH6 citrate buffer for 20 min and allow to cool prior to staining.
Immunofluorescent staining of fixed and permeabilized human HeLa cells with RBX1 antibody (green) and anti-Actin (red).
Availability 1-3 business days
Species Reactivity Human, Mouse
Format Purified
Clonality Polyclonal (rabbit origin)
Isotype Rabbit Ig
Purity Antigen affinity purified
UniProt P62877
Gene ID 9978
Localization Nuclear, cytoplasmic
Applications Western Blot : 1:1000
Immunohistochemistry (FFPE) : 1:25-1:50
Immunofluorescence : 1:25
Limitations This RBX1 antibody is available for research use only.
Review this product on BioCompare and get a $20 Amazon gift card

Related Products

  • Applications : WB, IF/ICC, FACS
    Reactivity : Human, Mouse, Rat

Description

E3 ubiquitin ligase component of multiple cullin-RING- based E3 ubiquitin-protein ligase complexes which mediate the ubiquitination and subsequent proteasomal degradation of target proteins, including proteins involved in cell cycle progression, signal transduction, transcription and transcription-coupled nucleotide excision repair. The functional specificity of the E3 ubiquitin-protein ligase complexes depends on the variable substrate recognition components. As a component of the CSA complex promotes the ubiquitination of ERCC6 resulting in proteasomal degradation. Through the RING-type zinc finger, seems to recruit the E2 ubiquitination enzyme, like CDC34, to the complex and brings it into close proximity to the substrate. Probably also stimulates CDC34 autoubiquitination. May be required for histone H3 and histone H4 ubiquitination in response to ultraviolet and for subsequent DNA repair. Promotes the neddylation of CUL1, CUL2, CUL4 and CUL4 via its interaction with UBE2M. Involved in the ubiquitination of KEAP1, ENC1 and KLHL41. In concert with ATF2 and CUL3, promotes degradation of KAT5 thereby attenuating its ability to acetylate and activate ATM.

Application Notes

The stated application concentrations are suggested starting points. Titration of the RBX1 antibody may be required due to differences in protocols and secondary/substrate sensitivity.

Immunogen

A portion of amino acids 78-108 from the human protein were used as the immunogen for the RBX1 antibody.

Storage

Aliquot the RBX1 antibody and store frozen at -20oC or colder. Avoid repeated freeze-thaw cycles.

Cross
Bulk Quote Request Form
Name*:
Organization*:
Email*:
Phone Number*:
Catalog No.*:
Comments and Specifics(amount, formulation, etc.)*:
Validation code: Captchapackage Image


Can't read the image? click here to refresh.
    *required field

Your bulk quote request has been submitted successfully!

Please contact us if you have any questions.