• Tel: 858.663.9055
  • SeparatorEmail: info@nsjbio.com
  • Tel: 858.663.9055
  • Email: info@nsjbio.com
Home >> Antibodies >> RBPJ Antibody / RBP-JK

RBPJ Antibody / RBP-JK (F45603)

  Catalog No Formulation Size Price (USD)  
Image F45603-0.4ML In 1X PBS, pH 7.4, with 0.09% sodium azide 0.4 ml 429
Image
F45603-0.08ML In 1X PBS, pH 7.4, with 0.09% sodium azide 0.08 ml 199
Bulk quote request
Western blot testing of RBPJ antibody at 1:2000 dilution and 1) Ramos, 2) human pancreas lysate; Predicted molecular weight ~ 56 kDa.
Fluorescent confocal image of A2058 cell stained with RBPJ antibody. Alexa Fluor 488 conjugated secondary (green) was used. RBPJ immunoreactivity is localized to the nucleus.
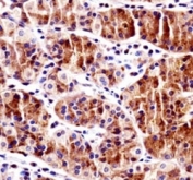
RBPJ antibody immunohistochemistry analysis in formalin fixed and paraffin embedded human stomach tissue.
Availability 1-3 business days
Species Reactivity Human
Format Antigen affinity purified
Clonality Polyclonal (rabbit origin)
Isotype Rabbit Ig
Purity Antigen affinity
UniProt Q06330
Applications Western Blot : 1:1000-2000
IHC (Paraffin) : 1:10-1:50
Immunofluorescence : 1:10-1:50
Limitations This RBPJ antibody is available for research use only.
Review this product on BioCompare and get a $20 Amazon gift card

Related Products

Description

Transcriptional regulator that plays a central role in Notch signaling, a signaling pathway involved in cell-cell communication that regulates a broad spectrum of cell-fate. determinations. Acts as a transcriptional repressor when it is not associated with Notch proteins. When associated with some Notch protein, it acts as a transcriptional activator that activates transcription of Notch target genes. Probably represses or activates transcription via the recruitment of chromatin remodeling complexes containing histone deacetylase or histone acetylase proteins, respectively. Specifically binds to the immunoglobulin kappa-type J segment recombination signal sequence.

Application Notes

Titration of the RBPJ antibody may be required due to differences in protocols and secondary/substrate sensitivity.

Immunogen

A portion of amino acids 1-29 from the human protein was used as the immunogen for this RBPJ antibody.

Storage

Aliquot the RBPJ antibody and store frozen at -20oC or colder. Avoid repeated freeze-thaw cycles.

Cross
Bulk Quote Request Form
Name*:
Organization*:
Email*:
Phone Number*:
Catalog No.*:
Comments and Specifics(amount, formulation, etc.)*:
Validation code: Captchapackage Image


Can't read the image? click here to refresh.
    *required field

Your bulk quote request has been submitted successfully!

Please contact us if you have any questions.