• Tel: 858.663.9055
  • SeparatorEmail: info@nsjbio.com
  • Tel: 858.663.9055
  • Email: info@nsjbio.com
Home >> Antibodies >> RBP4 Antibody / Retinol Binding Protein 4

RBP4 Antibody / Retinol Binding Protein 4 [clone RBP4/4045] (V8712)

  Catalog No Formulation Size Price (USD)  
Image V8712-100UG 0.2 mg/ml in 1X PBS with 0.1 mg/ml BSA (US sourced) and 0.05% sodium azide 100 ug 539
Image
V8712-20UG 0.2 mg/ml in 1X PBS with 0.1 mg/ml BSA (US sourced) and 0.05% sodium azide 20 ug 249
Image
V8712SAF-100UG 1 mg/ml in 1X PBS; BSA free, sodium azide free 100 ug 539
Microvalidated
Bulk quote request
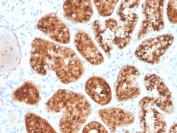
IHC staining of FFPE human kidney with RBP4 antibody. HIER: boil tissue sections in pH 9 10mM Tris with 1mM EDTA for 20 min and allow to cool before testing.
IHC staining of FFPE human kidney with RBP4 antibody. HIER: boil tissue sections in pH 9 10mM Tris with 1mM EDTA for 20 min and allow to cool before testing.
Analysis of HuProt(TM) microarray containing more than 19,000 full-length human proteins using RBP4 antibody. These results demonstrate the foremost specificity of the RBP4/4045 mAb. Z- and S- score: The Z-score represents the strength of a signal that an antibody (in combination with a fluorescently-tagged anti-IgG secondary Ab) produces when binding to a particular protein on the HuProt(TM) array. Z-scores are described in units of standard deviations (SD's) above the mean value of all signals generated on that array. If the targets on the HuProt(TM) are arranged in descending order of the Z-score, the S-score is the difference (also in units of SD's) between the Z-scores. The S-score therefore represents the relative target specificity of an Ab to its intended target.
Availability 1-3 business days
Species Reactivity Human
Format Purified
Clonality Monoclonal (mouse origin)
Isotype Mouse IgG2c, kappa
Clone Name RBP4/4045
Purity Protein G affinity chromatography
UniProt P02753
Localization Cytoplasmic
Applications Immunohistochemistry (FFPE) : 1-2ug/ml for 30 minutes at RT
Limitations This RBP4 antibody is available for research use only.
Review this product on BioCompare and get a $20 Amazon gift card

Related Products

Description

Retinol (Vitamin A) is transported in the blood bound to its carrier protein, retinol-binding protein (RBP), also designated plasma retinol-binding protein (PRBP) or RBP4. A member of the lipocalin family, RBP conveys retinol from stores in the liver to peripheral tissues. In plasma, RBP binds transthyretin (TTR, formerly called prealbumin) to prevent glomerular filtration of low molecular weight RBP in the kidneys. The stability of this complex holds diagnostic importance because the molar ratio of RBP:TTR provides an indirect way to indicate marginal Vitamin A deficiency. Vitamin A deficiency blocks the secretion of RBP, resulting in defective delivery and supply to epidermal cells. Originally identified solely as a transporter protein, recent studies correlating increased levels of RBP expression in adipose tissue with Insulin resistance have generated research into the possible roles the protein may play in the pathogenesis of type 2 diabetes and obesity.

Application Notes

Optimal dilution of the RBP4 antibody should be determined by the researcher.

Immunogen

A portion of amino acids 29-148 from the human protein was used as the immunogen for the RBP4 antibody.

Storage

Store the RBP4 antibody at 2-8oC (with azide) or aliquot and store at -20oC or colder (without azide).

Cross
Bulk Quote Request Form
Name*:
Organization*:
Email*:
Phone Number*:
Catalog No.*:
Comments and Specifics(amount, formulation, etc.)*:
Validation code: Captchapackage Image


Can't read the image? click here to refresh.
    *required field

Your bulk quote request has been submitted successfully!

Please contact us if you have any questions.