• Tel: 858.663.9055
  • SeparatorEmail: info@nsjbio.com
  • Tel: 858.663.9055
  • Email: info@nsjbio.com
Home >> Antibodies >> RBP4 Antibody / Retinol Binding Protein 4

RBP4 Antibody / Retinol Binding Protein 4 (R32882)

  Catalog No Formulation Size Price (USD)  
Image R32882 0.5mg/ml if reconstituted with 0.2ml sterile DI water 100 ug 439
Bulk quote request
Western blot testing of 1) mouse liver, 2) rat liver, 3) human placenta and 4) human HepG2 lysate with RBP4 antibody at 0.5ug/ml. Predicted molecular weight ~23 kDa.
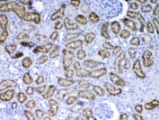
IHC testing of FFPE mouse kidney tissue with RBP4 antibody at 1ug/ml. Required HIER: steam section in pH6 citrate buffer for 20 min and allow to cool prior to testing.
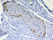
IHC testing of FFPE mouse pancreas tissue with RBP4 antibody at 1ug/ml. Required HIER: steam section in pH6 citrate buffer for 20 min and allow to cool prior to testing.
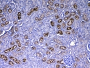
IHC testing of FFPE rat kidney tissue with RBP4 antibody at 1ug/ml. Required HIER: steam section in pH6 citrate buffer for 20 min and allow to cool prior to testing.
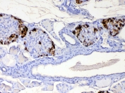
IHC testing of FFPE rat pancreas tissue with RBP4 antibody at 1ug/ml. Required HIER: steam section in pH6 citrate buffer for 20 min and allow to cool prior to testing.
Availability 1-3 business days
Species Reactivity Human, Mouse, Rat
Format Antigen affinity purified
Clonality Polyclonal (rabbit origin)
Isotype Rabbit IgG
Purity Antigen affinity
Buffer Lyophilized from 1X PBS with 2.5% BSA, 0.025% sodium azide
UniProt Q00724
Localization Cytoplasmic
Applications Western Blot : 0.5-1ug/ml
IHC (FFPE) : 1-2ug/ml
ELISA (Capture; Recombinant Mouse Protein) : 0.1-0.5ug/ml (BSA-free format available)
Limitations This RBP4 antibody is available for research use only.
Review this product on BioCompare and get a $20 Amazon gift card

Related Products

Description

RBP4 is also known as RDCCAS. This protein belongs to the lipocalin family and is the specific carrier for retinol (vitamin A alcohol) in the blood. It delivers retinol from the liver stores to the peripheral tissues. In plasma, the RBP-retinol complex interacts with transthyretin which prevents its loss by filtration through the kidney glomeruli. A deficiency of vitamin A blocks secretion of the binding protein posttranslationally and results in defective delivery and supply to the epidermal cells.

Application Notes

Optimal dilution of the RBP4 antibody should be determined by the researcher.

Immunogen

A recombinant mouse protein corresponding to amino acids E19-L201 was used as the immunogen for the RBP4 antibody.

Storage

After reconstitution, the RBP4 antibody can be stored for up to one month at 4oC. For long-term, aliquot and store at -20oC. Avoid repeated freezing and thawing.

Cross
Bulk Quote Request Form
Name*:
Organization*:
Email*:
Phone Number*:
Catalog No.*:
Comments and Specifics(amount, formulation, etc.)*:
Validation code: Captchapackage Image


Can't read the image? click here to refresh.
    *required field

Your bulk quote request has been submitted successfully!

Please contact us if you have any questions.