• Tel: 858.663.9055
  • SeparatorEmail: info@nsjbio.com
  • Tel: 858.663.9055
  • Email: info@nsjbio.com
Home >> Antibodies >> RBP-JK Antibody / RBPJ

RBP-JK Antibody / RBPJ [clone 6G4] (RQ6277)

  Catalog No Formulation Size Price (USD)  
Image RQ6277 0.5mg/ml if reconstituted with 0.2ml sterile DI water 100 ug 439
Bulk quote request
Flow cytometry testing of human U937 cells with RBP-JK antibody at 1ug/million cells (blocked with goat sera); Red=cells alone, Green=isotype control, Blue= RBP-JK antibody.
Flow cytometry testing of mouse HEPA1-6 cells with RBP-JK antibody at 1ug/million cells (blocked with goat sera); Red=cells alone, Green=isotype control, Blue= RBP-JK antibody.
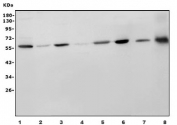
Western blot testing of human 1) HEK293, 2) HepG2, 3) HeLa, 4) MCF7, 5) U-87 MG, 6) HL60, 7) rat NRK and 8) mouse smooth muscle tissue lysate with RBP-JK antibody. Predicted molecular weight ~56 kDa.
Availability 1-3 business days
Species Reactivity Human, Mouse, Rat
Format Antigen affinity purified
Clonality Monoclonal (mouse origin)
Isotype Mouse IgG2b
Clone Name 6G4
Purity Affinity purified
Buffer Lyophilized from 1X PBS with 2% Trehalose
UniProt Q06330
Applications Western Blot : 1-2ug/ml
Flow Cytometry : 1-3ug/million cells
Limitations This RBP-JK antibody is available for research use only.
Review this product on BioCompare and get a $20 Amazon gift card

Related Products

  • Applications : WB, IHC, IF, ELISA
    Reactivity : Human

Description

Recombination signal binding protein for immunoglobulin kappa J region is a protein that in humans is encoded by the RBPJ gene. It is mapped to 4p15.2. The protein encoded by this gene is a transcriptional regulator important in the Notch signaling pathway. The encoded protein acts as a repressor when not bound to Notch proteins and an activator when bound to Notch proteins. It is thought to function by recruiting chromatin remodeling complexes containing histone deacetylase or histone acetylase proteins to Notch signaling pathway genes. Several transcript variants encoding different isoforms have been found for this gene, and several pseudogenes of this gene exist on chromosome 9.

Application Notes

Optimal dilution of the RBP-JK antibody should be determined by the researcher.

Immunogen

A human recombinant partial protein (amino acids K41-Q467) was used as the immunogen for the RBP-JK antibody.

Storage

After reconstitution, the RBP-JK antibody can be stored for up to one month at 4oC. For long-term, aliquot and store at -20oC. Avoid repeated freezing and thawing.

Cross
Bulk Quote Request Form
Name*:
Organization*:
Email*:
Phone Number*:
Catalog No.*:
Comments and Specifics(amount, formulation, etc.)*:
Validation code: Captchapackage Image


Can't read the image? click here to refresh.
    *required field

Your bulk quote request has been submitted successfully!

Please contact us if you have any questions.