• Tel: 858.663.9055
  • SeparatorEmail: info@nsjbio.com
  • Tel: 858.663.9055
  • Email: info@nsjbio.com
Home >> Antibodies >> RBM3 Antibody / RNA binding motif protein 3

RBM3 Antibody / RNA binding motif protein 3 (F54443)

  Catalog No Formulation Size Price (USD)  
Image F54443-0.4ML In 1X PBS, pH 7.4, with 0.09% sodium azide 0.4 ml 429
Image
F54443-0.08ML In 1X PBS, pH 7.4, with 0.09% sodium azide 0.08 ml 199
Bulk quote request
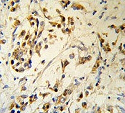
IHC testing of FFPE human breast carcinoma tissue with RBM3 antibody. HIER: steam section in pH6 citrate buffer for 20 min and allow to cool prior to staining.
Western blot testing of human Jurkat cell lysate with RBM3 antibody. Predicted molecular weight ~17 kDa.
Western blot testing of mouse NIH 3T3 cell lysate with RBM3 antibody. Predicted molecular weight ~17 kDa.
Western blot testing of 1) non-transfected and 2) transfected 293 cell lysate with RBM3 antibody.
Flow cytometry testing of human MCF7 cells with RBM3 antibody; Blue=isotype control, Green= RBM3 antibody.
Availability 1-3 business days
Species Reactivity Human
Format Purified
Clonality Polyclonal (rabbit origin)
Isotype Rabbit Ig
Purity SAS precipitation
UniProt P98179
Localization Nuclear, cytoplasmic
Applications Western Blot : 1:500-1:2000
Flow Cytometry : 1:25 (1x10e6 cells)
Immunohistochemistry (FFPE) : 1:25
Limitations This RBM3 antibody is available for research use only.
Review this product on BioCompare and get a $20 Amazon gift card

Related Products

Description

RBM3 is a member of the glycine-rich RNA-binding protein family and a protein with one RNA recognition motif (RRM) domain. Expression of this protein is induced by cold shock and low oxygen tension.

Application Notes

The stated application concentrations are suggested starting points. Titration of the RBM3 antibody may be required due to differences in protocols and secondary/substrate sensitivity.

Immunogen

A portion of amino acids 55-84 from the human protein were used as the immunogen for the RBM3 antibody.

Storage

Aliquot the RBM3 antibody and store frozen at -20oC or colder. Avoid repeated freeze-thaw cycles.

Cross
Bulk Quote Request Form
Name*:
Organization*:
Email*:
Phone Number*:
Catalog No.*:
Comments and Specifics(amount, formulation, etc.)*:
Validation code: Captchapackage Image


Can't read the image? click here to refresh.
    *required field

Your bulk quote request has been submitted successfully!

Please contact us if you have any questions.